Chỉnh hình răng là một chuyên khoa kỹ thuật cao lĩnh vực nha khoa chuyên về chẩn đoán, dự phòng và điều trị các bất thường của răng và mặt. Điều trị chỉnh hình răng có thể sửa chữa khớp cắn bất thường hay "xấu" thường được gọi là sai khớp cắn.
Điều trị chỉnh hình răng hay còn gọi là chỉnh nha có rất nhiều phương pháp như sử dụng mắc cài, sử dụng khí cụ cố định ... và đặc biệt với công nghệ hiện đại ngày nay dưới sự hỗ trợ của trí tuệ nhân tạo, máy quét 3D răng miệng và các phần miềm mô phỏng trên gương mặt thật ta có thể dễ dàng dự đoán dược kết quả điều trị. Nhưng dù dùng phương pháp nào thì việc chỉnh nha làm nhằm các mục đích sau đây:
- Điều chỉnh răng ngay ngắn
- Sửa chữa sai khớp cắn
- Đóng kín các khoảng hở
- Tạo sự hài hòa giữa răng và môi
Chỉnh hình răng còn giúp hỗ trợ cho các điều trị khác trong nha khoa ví dụ như nha khoa thẩm mỹ và cấy ghép răng.
Ở trẻ em, điều trị chỉnh nha còn giúp định hướng sự phát triển xương hàm và quá trình mọc răng vĩnh viễn.
Phần lớn nhiều người muốn điều trị chỉnh nha vì họ nhận thấy hàm răng lệch lạc của mình ảnh hưởng đến thẩm mỹ cũng như khó khăn trong khi ăn nhai, nhưng dưới cái nhìn chuyên môn của Nha sĩ thì hàm răng lệch lạc không những ảnh hưởng đến sự hài hòa của khuôn mặt mà còn ảnh hưởng đến sức khỏe răng miệng và sức khỏe toàn thân.
Thường có các loại răng lệch lạc như sau:
1. Răng mọc chen chúc
Răng mọc chen chúc là tình trạng các răng sắp xếp lộn xộn, không ngay ngắn trên cung hàm do hai nguyên nhân chính: sự bất hài hòa giữa xương hàm và răng (kích thước răng lớn bất thường so với xương hàm hoặc kích thước răng bình thường nhưng xương hàm nhỏ) hoặc nhổ răng sữa quá sớm làm mất chỗ và không tạo hướng dẫn cho răng vĩnh viễn và nhổ răng sữa trễ. Răng mọc chen chúc ảnh hưởng đến thẫm mỹ và chức năng ăn nhai cũng như vệ sinh răng miệng khó khăn gây dễ sâu răng, viêm nướu, nha chu….

Răng mọc chen chúc
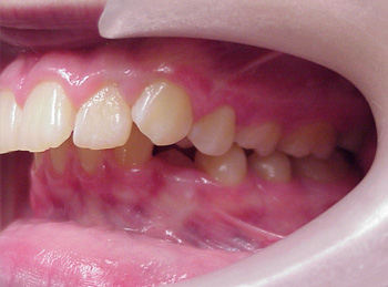
2. Răng cắn chéo
Cắn chéo hay cắn ngược là tình trạng răng hàm dưới phủ ra ngoài răng hàm trên, có thể gặp ở vùng răng sau nhưng thường xảy ra ở các răng cửa hàm dưới. Thường do các nguyên nhân: mầm răng nằm sai vị trí (do nhổ răng sữa sớm, rối loạn trong quá trình hình thành mầm răng...), xương hàm dưới lớn nhiều so với xương hàm trên….Răng cắn chéo ảnh hưởng đến thẩm mỹ và chức năng an nhai (khó khăn trong khi cắn và nghiền thức ăn).
3. Răng cắn hở
Là tình trạng khi cắn hai hàm bình thường thì răng cửa hàm trên và hàm dưới không chạm nhau. Ngoài việc mất thẩm mỹ, khi cắn hở bệnh nhân sẽ không thực hiện được chức năng cắn và xé thức ăn, ảnh hưởng đến hiệu quả nhai. Ngoài ra, do hở phía trước, lực nhai sẽ dồn lên các răng phía sau quá mức, làm mòn răng.

Răng cắn hở
4. Răng móm
Móm hay hô hàm dưới là tình trạng hàm dưới nhô ra trước quá mức so với hàm trên. Tuy nhiên cũng có thể là do hàm trên kém phát triển. Dấu hiệu điển hình là cắn chéo vùng răng trước. Điều trị hô hàm dưới thường khó khăn do đó, cần theo dõi chặt chẽ khả năng tăng trưởng quá mức của hàm dưới nhằm điều trị phòng ngừa.

Răng móm
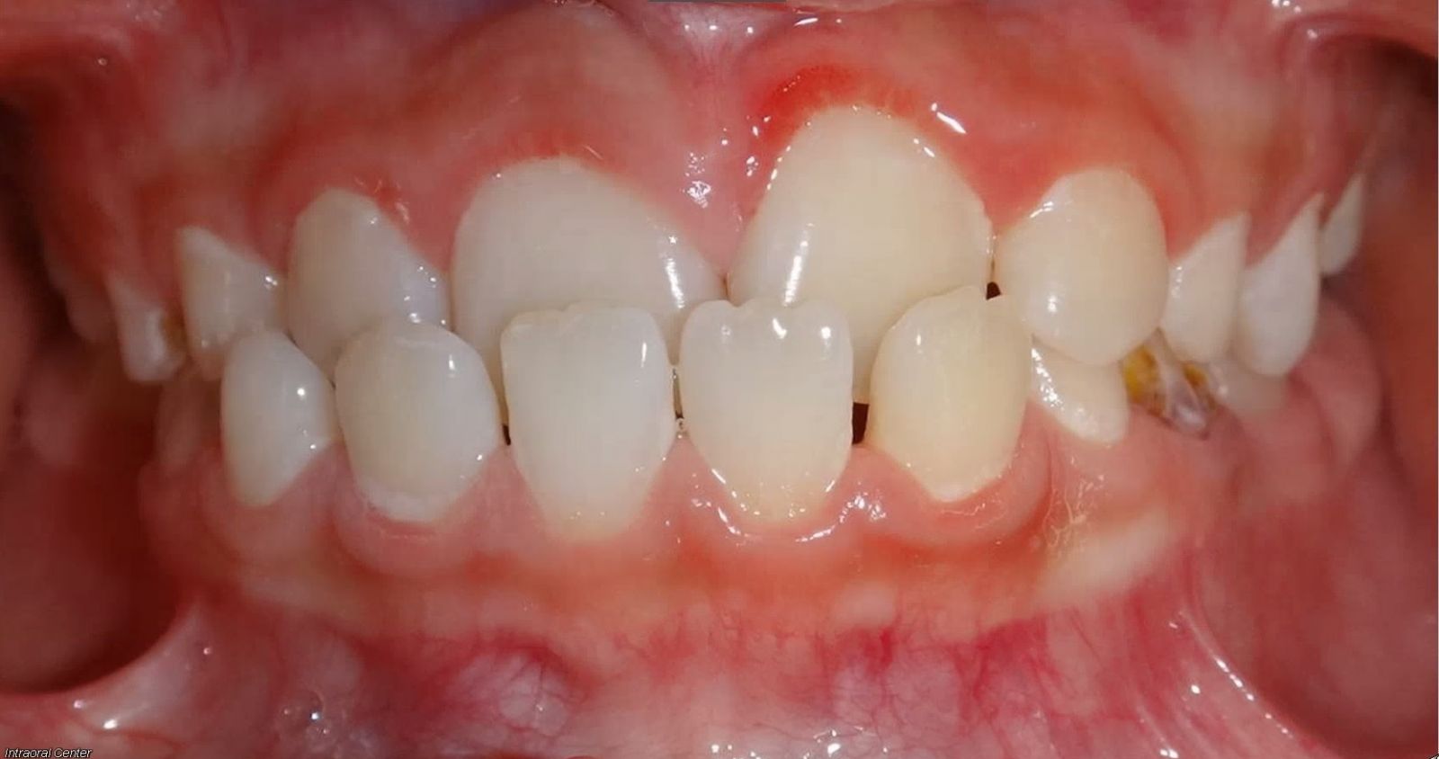
5. Cắn sâu
Cắn sâu là tình trạng răng trên phủ răng dưới quá mức (hơn 3mm). Trường hợp nặng, răng cửa dưới cắn chạm vào vùng nướu hay khẩu cái phía sau các răng cửa trên có thể gây tiêu xương dẫn đến mất răng.

Răng cắn sâu
6. Răng thưa
Răng thưa, ngược với răng chen chúc, là tình trạng có các khe hở giữa các răng do mất răng, kích thước răng nhỏ bất thường so với xương hàm, thói quen mút tay hoặc thắng môi bám thấp (thường gây thưa răng cửa)….Răng thưa ảnh hưởng nhiều đến thẫm mỹ, chức năng an nhai và sức khỏe răng miệng (tụt nướu, viêm nướu...).

Răng thưa
7. Răng hô
Là tình trạng răng cửa hàm trên trên nghiêng nhiều ra trước, trong khi xương hàm trên vẫn bình thường theo tương quan chiều trước sau. Tuy nhiên, hô răng hàm trên có thể đi cùng với hô xương hàm trên làm mức độ răng trên đưa ra trước trầm trọng hơn. Hô răng hàm trên và hô xương hàm trên là một lệch lạc khá phổ biến, làm cho khuôn mặt không thẩm mỹ.

Răng hô
Nói chung, khi có lệch lạc về răng nên điều trị chỉnh nha càng sớm càng tốt vì:
Ảnh hưởng đến thẩm mỹ: nụ cười, khuôn mặt.
- Khó vệ sinh răng miệng nên dễ sâu răng, viêm nướu, nha chu…
- Ảnh hưởng chức năng ăn nhai.
- Điêu trị cáng sớm thì thành công càng cao và tiết kiệm thời gian, chi phí.

Điều trị chỉnh nha là một điều trị phức tạp đòi hỏi Bác sĩ có chuyên môn cao và nhiều kinh nghiệm đồng thời cần có sự hợp tác quan trọng của bệnh nhân.
Qui trình điều trị chỉnh nha gồm các bước sau:
1. KHÁM TƯ VẤN.
- Khám tổng quát về sức khỏe răng miệng
- Tình trạng răng và nướu.
- Sự phát triển không hài hòa giữa răng và xương hàm.
- Quá trình mọc răng.
- Tương quan giữa hàm trên và hàm dưới.
- Khớp thái dương hàm.
- Chụp phim toàn cảnh hai hàm và phim sọ nghiêng.
- Vị trí tương quan của mầm răng vĩnh viễn với răng sữa.
- Có răng mất, răng bị kẹt không thể mọc lên được…
- Cấu trúc của chân răng.
- Vị trí tương quan giữa răng và xương hàm.
- Các vấn đề của khớp thái dương hàm.
- Chụp hình trong miệng và mặt (cần thiết bác sĩ sẽ cho scan 3D trong miệng để mô phỏng kế hoạch điều trị trên gương mặt và nụ cười thật của bệnh nhân).
- Lấy dấu hai hàm nghiên cứu.
2. KẾ HOẠCH ĐIỀU TRỊ
- Kế hoạch điều trị chi tiết: có cần nhổ răng không? Nhổ mấy cái? Nhổ răng nào?
- Phương pháp chỉnh nha: cố định hoặc tháo lắp.
- Thời gian điều trị.
- Chi phí và thời điểm thanh toán.
3. ĐIỀU TRỊ.
• Nhổ răng (nếu có trong kế hoạch điều trị)
• Đặt thun tách kẻ.
• Đặt khâu và gắn mắc cài hai hàm.
• Tái khám và thay thun mỗi tháng, nếu có gì bất thường (sút thun, sút mắc cài….) nên trở lại kiểm tra.
4. HOÀN TẤT VÀ DUY TRÌ.
• Tháo mắc cài, khâu.
• Lấy dấu để làm khí cụ duy trì. Đây là giai đoạn cuối cùng nhưng không kém phần quan trọng vì sau khi chỉnh răng hai hàm vào vị trí lí tưởng nếu không đeo khí cụ duy trì thì răng sẽ di chuyển , Vì vậy để chình nha đạt kết quả tốt bạn phải tuân theo những yêu cầu của Bác sĩ trong việc đeo khí cụ duy trì.
• Chụp hình hoàn tất.
• Tái khám thường xuyên.

