Có rất nhiều nguyên nhân dẫn đến răng mọc lệch lạc như do di truyền hay do mắc phải. Sau đây Nha khoa Tân Hoàn Mỹ xin đưa ra một số nguyên nhân thường gặp:
Hình dạng kích, thước răng:
Theo quan điểm chỉnh nha, răng quá to, quá nhỏ so với cung hàm mang nó đều là “không phù hợp”. Răng vĩnh viễn thay thế răng sữa có thể sẽ quá to hoặc quá nhỏ so với xương hàm. Nếu một người thừa hưởng di truyền một xương hàm nhỏ của mẹ và răng lớn của cha - toàn bộ răng mọc lên sẽ không đủ chỗ trên cung hàm nên phải mọc chen chúc, hoặc xoay hoặc thay đổi vị trí khác. Ngược lại nếu răng quá nhỏ so với cung hàm sẽ có hiện tượng thưa răng.
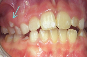
Hình dạng răng (răng sinh đôi, răng dính, sinh hợp..) cũng có thể là nguyên nhân gây lệch lạc răng. Những sai lệch nặng về hình dạng, kích thước răng là nguyên nhân thường gặp gây ra sai khớp cắn răng mặt.
Một trường hợp răng đôi (răng dính)
Các thói quen xấu như thở miệng, mút tay, cắn môi, đẩy lưỡi … gây ra các xáo trộn mọc răng.
Xáo trộn mãn tính ở mũi hoặc thói quen thở miệng thường kết hợp với hàm trên kém phát triển. Sự phát triển hàm trên gây ra hẹp xương hàm trên với vòm khẩu sâu, răng chen chúc kèm với lùi hay nhô xương hàm dưới.
Việc mút tay có thể sẽ đẩy các răng cửa hàm trên ra trước và răng dưới ra sau gây hô răng. Các thói quen đẩy lưỡi vào các răng trước sẽ làm cả các răng cửa trên và răng cửa hàm dưới tách ra trước gây ra tình trạng cắn hở.
Mút ngón tay có thể hô răng
Răng mọc không đúng lịch trình
Răng thường mọc lên trong miệng theo một lịch trình nhất định. Thỉnh thoảng có những răng không theo trình tự này. Các răng vĩnh viễn mọc lên quá sớm sẽ chiếm chỗ của răng sau này và các răng mọc trễ quá cũng không đủ chỗ trên cung hàm để mọc lên.
Răng hàm mọc sai vị trí:
Các răng hàm thường có múi lồng vào trũng của răng đối diện như sự ăn khớp của dây kéo. Nếu múi và trũng của 2 răng hàm thứ nhất không ăn khớp nhau thì các răng mọc lên sau đó cũng sẽ không khớp.

Răng mọc sai vị trí
Tình trạng răng dư sẽ chiếm chỗ trên cung hàm làm các răng khác bị chen chúc. Răng dư mọc ngầm có thể cản trở mọc răng vĩnh viễn.

Thiếu răng:
Răng thiếu thường gặp nhất là thiếu Răng khôn; kế tiếp là răng cối nhỏ II hàm dưới; răng cửa bên hàm trên. Răng cối nhỏ I hàm trên; răng cửa giữa hàm dưới … Các răng thiếu này không phát triển hoặc bị ngầm, sẽ gây hiện tượng dư chỗ và các răng mọc lên sẽ nghiêng hoặc di chuyển về chỗ thiếu răng này.
Mất răng do chấn thương:
Các chấn thương vùng mặt có thể làm thay đổi sự phát triển của xương hàm và gây nên hiện tượng răng mọc lệch lạc.
Chấn thương trước khi răng sữa mọc dẫn đến răng lún vào trong xương hàm, răng đổi chỗ, dị dạng chân răng sữa. Chấn thương làm lún răng sữa phía trước sau 4 tuổi thường gây hại đến mầm răng vĩnh viễn. Tùy thuộc vào giai đoạn phát triển mầm răng vĩnh viễn, hướng và mức độ trầm trọng của răng lún mà nó có thể gây ra tổn thương trên thân răng, gây trở ngại cho việc hình thành chân răng, đổi chỗ, chậm mọc răng. Chấn thương răng vĩnh viễn sau khi mọc có thể làm gẫy, lệch răng.
Mất hoặc nhổ răng sữa sớm:
Răng sữa có vai trò rất quan trọng, ngoài việc giúp cho trẻ an nhai, răng sữa có vai trò giữ chỗ cho răng vĩnh viễn mọc sau này. Vì một số lý. Một số trường hợp bị mất hoặc nhổ răng sữa quá sớm nên không giữ khoảng được cho răng vĩnh viễn mọc lên, cũng gây ra tình trạng lệch lạc răng sau này.
Cách nuôi:
Cách nuôi (như cho bú sữ, độ đặc của thức ăn ... cũng ảnh đến sự phát triển của răng xương). Ưu điểm của việc nuôi con bằng sữa mẹ là xương, cơ trẻ phát triển tốt hơn. Những vận động chức năng trong tháng đầu của trẻ giúp đẩy xương hàm dưới ra trước và bù trừ cho hàm dưới nhỏ sinh lý khi sinh.
Khi răng cối sữa thứ I mọc lên, trẻ có thể ăn thức ăn đặc hơn ở thời điểm này và vì vậy xương hàm của bé có thể phát triển hơn.

