Cercon HT (Cercon High Translucency) là một bước phát triển mới của toàn sứ Cercon không những vẫn giữ những đặc tính vật lý, cơ học và sinh học mà còn kết hợp độ trong và sự an toàn trong phục hình toàn sứ.
Cercon HT được sản xuất dựa trên thành phần cơ bản là Zirconia phối hợp với Yttria giúp vật liệu ổn định, đã được chứng minh lâm sàng 10 năm. Thêm vào đó là một lượng nhỏ Alumina với quy trình sản xuất và nhiệt độ nung đến 1.6500C (cao hơn sứ Cercon 1.3500C) làm cho nó có những đặc điểm nổi trội hơn sứ Cercon.

Cercon HT một bước phát triển mới của Cercon
- Vê độ bền: Cercon HT có cường độ và độ bền tương đương với Cercon. Ra> 1.500Mpa.
- Sự ổn định lâu dài: Những nghiên cứu về lão hoá của vật liệu thực hiện tại phòng thí nghiệm (tạo ra chu kỳ tác động nhiệt và ngâm trong nước) cho thấy sự ổn định lâu dài như cercon (Được nghiên cứu tại Đại học Siengeb, Đức, năm 2011).
- Các đặc tính về phủ sứ: Sườn Cercon HT có đặc tính phủ sứ tuyệt vời như sườn kim loại trong các phục hình sứ kim loại - vẫn được xem là chuẩn mực vàng trong phục hình. Tài liệu nghiên cứu: Đại học Heidelberg, Đức năm 2011.
- Độ an toàn trên lâm sàng: Cercon HT là kết quả của nổ lực phát triển dòng Cercon hiện nay nhằm hoàn thiện sản phẩm một cách toàn diện.

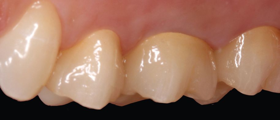
Mão sứ và cầu sứ Cercon HT
CERCON HT BẢO TỒN MÔ RĂNG HƠN PHỤC HÌNH TOÀN SỨ:
Nếu trước đây, phương pháp cổ điển, phục hình sứ yêu cầu mài răng tối thiểu là 1,5 đến 2mm thì với Cercon HT chỉ cần mài mặt nhai với khoảng 0,5mm, mặt vách khoảng 0,4mm và tại vị trí đường hoàn tất chỉ cần mài tối thiểu 0,2mm. Vì vậy giải pháp Cercon HT bảo tồn mô răng tuyệt vời.


Cercon HT bảo toàn mô răng tốt hơn trong phục hình toàn sứ

Mão răng Cercon HT R25, R27

Hiện nay, cả nước Việt Nam đã có 03 đơn vị triển khai Cercon HT đó là Bệnh viện răng Hàm mặt Trung Ương Hà Nội, Bệnh viện răng Hàm mặt Trung Ương Thành phố Hồ Chí Minh và một Đơn vị khác tại Hà Nội. Nha khoa Tân Hoàn Mỹ dự kiến sẽ triển khai và cung cấp dịch vụ phục hình toàn sứ Cercon HT vào Quý I năm 2012. Với sứ Cercon HT hy vọng sẽ làm hài lòng quý khách.
Đọc thêm:

