Vấn đề chỉnh nha hiện nay được rất nhiều người quan tâm, nhất là các bạn trẻ, luôn tìm kiếm những giải pháp phù hợp với những khiếm khuyết của hàm răng mình. Chỉnh nha theo phương pháp truyền thống thì phải mang hệ thống khung dây và mắc cài bằng kim loại vừa rất khó chịu vừa rất “khó nhìn” nên rất e ngại khi giao tiếp. Đặc biệt là thời gian chỉnh nha kéo dài (thường thì khoảng từ 18 đến 24 tháng và sau đó phải mang khí cụ duy trì). Nếu sử dụng Invisalign thì đôi khi không thể áp dụng được và chi phí tương đối cao. Nha khoa Tân Hoàn Mỹ xin giới thiệu với Quý vị độc giả Hệ thống chỉnh nha “Six Month Smiles” với hy vọng bạn sẽ có được hàm răng đều đẹp và nụ cười rạng rỡ trong vòng sáu tháng.
Trước và sau khi chỉnh nha bằng Six Month Smiles
Hệ thống niềng chỉnh răng “Six Month Smiles” là phương pháp thay thế đầy sáng tạo cho phương pháp niềng răng truyền thống. Đây là một bước cải tiến mới so với phương pháp chỉnh nha truyền thống nên kế thừa được tất cả các ưu điểm và khắc phục những nhược điểm của chỉnh nha truyền thống (Hệ thống chỉnh nha truyền thống bao gồm khung dây và mắc cài bằng kim loại, thời gian chỉnh nha khoảng từ 18 đến 24 tháng). Đây là phương pháp bảo tồn tối đa (tức là biện pháp ít xâm lấn nhất) để cải thiện nụ cười của bạn mà ít gây ra sự khó chịu và cảm giác e ngại trong giao tiếp khi mang mắc cài kim loại. Bệnh nhân nha khoa có thể có được kết quả tương tự niềng răng truyền thống, đặc biệt cho kết quả chỉ trong sáu tháng.
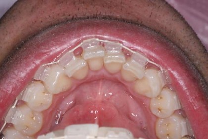
Với khung dây Chameleon có màu trùng với màu răng, làm cho khó bị phát hiện khi mang nó. Đi kèm với dây này là mắc cài Lucid Lok trong suốt (không màu), làm cho chúng gần như vô hình. Sử dụng phương pháp điều trị nha khoa này bệnh nhân có thể có hàm răng thẳng nhanh hơn nhiều so với những khí cụ truyền thống trước đây.
|
|
|
Qui trình của “Six Month Smiles” là gì?
- Bước đầu tiên là tư vấn nha khoa. Trong quá trình tham vấn, nha sĩ của chúng tôi sẽ đánh giá để xác định bạn có thích hợp sử dụng hay không. Bác sĩ cũng sẽ trả lời bất kỳ câu hỏi mà bạn thắc mắc về quy trình thực hiện các thủ thuật.
- Nếu bác sĩ xác định bạn thích hợp điều trị bằng phương pháp này và khi bạn đã sẵn sàng để tiến hành, nha sĩ sẽ chỉ định chụp x-quang toàn hàm và lấy dấu răng để nghiên cứu chi tiết. Sau khi được phân tích kỹ lưỡng, nha sĩ sẽ lên kế hoạch điều trị chỉnh nha cho bạn.
- Sau khi mọi chuẩn bị đã hoàn tất, bạn sẽ được gắn khung dây Chameleon trùng với màu răng và mắc cài Lucid Lok trong suốt. Bác sĩ sẽ điều chỉnh lực căng để bạn được thoải mái tối đa mà vẫn đạt được mục đích và tuân theo kế hoạch điều trị.
- Bạn sẽ tái khám sau mỗi 4-5 tuần để được bác sĩ đánh giá kết quả điều trị, sự sắp xếp lại răng và điều chỉnh khung dây và mắc cài.
- Sau khoảng sáu tháng điều trị, nha sĩ tháo bỏ khung dây và mắc cài. Trong đa số các trường hợp điều trị, kết quả đạt như mong muốn, răng được xếp thẳng, nụ cười được cải thiện đáng kể.
- Trong hầu hết các trường hợp, bạn sẽ phải khí cụ duy trì tháo lắp thêm một thời gian ngắn nữa.
Những ưu điểm của “Six Month Smiles” là gì?
Có rất nhiều lợi ích khi sử dụng hệ thống Six Month Smiles. Dưới đây chỉ liệt kê một vài ưu điểm:
- Răng của bạn được nắn chỉnh ngay ngắn, cải thiện nụ cười của bạn.
- Các khung dây và mắc cài Lucid-Lock trong suốt trông tự nhiên hơn nhiều so với sử dụng phương pháp chỉnh nha truyền thống.
- Các thủ thuật gắn khung và mắc cài là nhanh hơn và ít khó chịu hơn so với niềng răng truyền thống.
- Mắc cài Lucid-Lock và khung dây có trọng lượng nhẹ hơn do đó mang nó thoải mái hơn rất nhiều so với mang hệ thống khung dây và mắc cài truyền thống.
- Về giá thành, nói chung có phần rẻ hơn so với veneer sứ, phương pháp chỉnh nha truyền thống. Đặc biệt, chi phí rẻ hơn nhiều so với Invisalign (Invisalign chỉ chỉnh được những trường hợp nhẹ).
Phương pháp chỉnh nha theo “Six Month Smiles” có thời gian điều trị ngắn hơn. Mục tiêu của phương pháp toàn diện hơn so với một số trường hợp chỉnh nha truyền thống. Cụ thể, mục đích của phương pháp “Six Month Smiles” là điều chỉnh các vấn đề có liên quan đến những phàn nàn chính của bệnh nhân nha khoa về các vấn đề chỉnh hình răng của họ. Thông thường, những phàn nàn liên quan đến khoảng cách răng, răng lệch lạc và/hoặc răng chen chúc. Trong nhiều trường hợp, tất cả các vấn đề này có thể được xử lý một cách dễ dàng bằng phương pháp Six Month Smiles chỉ trong khoảng sáu tháng. Đó là lý do tại sao hệ thống cũng được gọi là phương pháp chỉnh nha nhanh và tập trung chính vào vấn đề thẩm mỹ.
|
|
|
Quý Ông này cũng đang chỉnh nha Six Month Smiles
Lucid-Lok là gì?

Mắc cài Lucid-Lok ® trong suốt (không màu) với thiết kế độc đáo. Chúng cho phép nha sĩ giúp bạn đạt được mục tiêu chỉnh nha với thời gian điều trị ngắn. Hệ thống chỉnh nha này là chính xác và hiệu quả hơn niềng răng truyền thống. Hệ thống được thiết kế để điều chỉnh kích thước trong không gian 3 chiều đặc biệt tập trung vào yếu tố thẩm mỹ. Vì chúng có độ trong mờ nên nó lẩn vào răng lân cận.
Khung dây Lucid-Lok có công nghệ bộ nhớ hình dạng. Chúng cũng có màu trùng với màu răng, làm cho chúng gần như vô hình. Chúng tác động lên răng một lực không đổi theo mức theo mức tùy chỉnh của Nha sĩ. Chúng chỉ có một archform duy nhất cung cấp mức vòm bên phải, giảm thiểu sự cần thiết cho các thủ thuật nha khoa xâm lấn và đau đớn hơn.
Nếu bạn quan tâm trong việc chỉnh nha, nếu bạn mong muốn cải thiện nụ cười của bạn, nếu bạn e ngại phải mang khung dây và mắc cài như chỉnh nha truyền thống,… thì có lẽ đây là giải pháp cho bạn. Hãy liên hệ Trung tâm Nha khoa Tân Hoàn Mỹ để bạn được tư vấn ngay hôm nay.
Nếu bạn vẫn còn e ngại khi mang mắc cài thì bạn đọc thêm bài "Sao với mắc cài" nhé!








