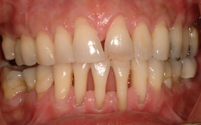
Tụt nướu thường làm cho răng nhạy cảm và có thể dẫn đến sâu răng và viêm nướu dai dẳng. Nghiên cứu mới công bố trên BioMed Central chứng minh một phương pháp sử dụng collagen* có nguồn gốc từ bò có thể tăng cường chữa bệnh nướu răng. Kết quả điều cho thấy hơn một nửa các trường hợp nướu răng hoàn toàn được hồi phục trên răng đã bị tụt lợi.

Tụt nướu răng
Các nhà nghiên cứu trên khắp nước Đức và Thụy Sĩ mà dẫn đầu bởi tiến sĩ Shahram Ghanaati và Tiến sĩ Markus Schlee điều tra khả năng sử dụng collagen chiết xuất từ màng ngoài tim bò, để chữa trị tụt nướu và lộ chân răng. Collagen được chiết xuất bởi quy trình xử lý bao gồm thẩm thấu, oxy hóa và kiềm hóa. Điều này đảm bảo các màng tế bào bị phá vỡ, protein và chất béo hòa tan và vi khuẩn, virus và các mầm bệnh khác đã được vô hiệu và loại bỏ.
Nghiên cứu theo dõi 14 bệnh nhân với hơn 60 dấu hiệu tụt nướu của họ. Răng bị bệnh của họ đã được vệ sinh sạch sẽ trước khi phẫu thuật và cấy ghép collagen được giữ tại vị với các sợi chỉ phẫu thuật quấn xung quanh răng bị ảnh hưởng. Hai tuần sau đó chỉ khâu đã được gỡ bỏ. Không ai trong số các bệnh nhân cần dùng thuốc kháng sinh.

Hình ảnh của Collagen Matrix - màu xanh
Các bệnh nhân được kiểm tra lại sau sáu tháng để xem họ đã bị phục hồi như thế nào. Tiến sĩ Schlee mô tả các kết quả, "Trong tất cả các trường hợp cấy ghép được chữa lành đã cải thiện hình dáng và mức độ nghiêm trọng của tụt nướu và hơn một nửa trong số các điều trị, kết quả đã phục hồi bao phủ toàn bộ chân răng bị tụt lợi. Chúng tôi không mong đợi bất kỳ bệnh nhân này sẽ có kết quả tốt hơn mà không cần phẫu thuật."
Collagen dường như có thể hoạt động như một giàn giáo cho các tế bào của cơ thể để tự sửa chữa các hỏng hóc đưa đến kết quả trên như là được ghép mô liên kết. Collagen bò có thể là một giải pháp cho bệnh nhân trong điều kiện rất ít người hiến mô hoặc cho người mà mà nhiều ca phẫu thuật không phải là một lựa chọn.
Chú thích:
*Collagen: Collagen là một loại protein chiếm tới 25% tổng lượng protein trong cơ thể người. Các nhà khoa học thường ví Collagen như một chất keo kết nối các mô trong cơ thể lại với nhau. Nếu không có chúng cơ thể người sẽ chỉ là các phần rời rạc, các bộ phận không hoàn chỉnh. Chỉ riêng điều này thôi cũng đủ chỉ ra tầm quan trọng của collagen đối với sự sống và sức khoẻ của con người.
Cấu trúc của Collagen
Nguồn: ScienceDaily - Keep Smiling: Collagen Matrix Promotes Gum Healing Around Exposed Roots

