Dường như không có nhiều nghiên cứu về mối liên quan giữa COVID-19 và sức khỏe răng miệng. Tuy nhiên, một nghiên cứu mới đây (năm 2021) cho thấy sức khỏe răng miệng kém có thể góp phần gây ra hoặc làm trầm trọng thêm bệnh SARS-CoV-2.
Nghiên cứu lưu ý rằng miệng có thể hoạt động như một điểm xâm nhập của SARS-CoV-2 vì các tế bào ở lưỡi và nướu răng có enzym chuyển đổi angiotensin-2 (ACE2). Đây là thụ thể protein cho phép virus xâm nhập vào tế bào. Ở những người có sức khỏe răng miệng kém, sự hiện diện của các thụ thể ACE2 dường như cao hơn.
Một bài báo khác từ nguồn đáng tin cậy lưu ý rằng có thể có mối liên hệ giữa bệnh nướu răng và những thay đổi trong mảng bám răng với việc tăng nguy cơ biến chứng do COVID-19.
Các nhà nghiên cứu cho rằng vệ sinh răng miệng kém có thể làm tăng khả năng vi khuẩn di chuyển từ miệng đến phổi. Điều này có thể làm tăng nguy cơ phát triển nhiễm trùng do vi khuẩn ngoài COVID-19.
COVID-19 và tiếp cận dịch vụ chăm sóc sức khỏe răng miệng:
Theo Trung tâm Kiểm soát và Phòng ngừa Dịch bệnh của Hòa Kỳ (CDC), sức khỏe răng miệng là một phần quan trọng của sức khỏe tổng thể và hạnh phúc của mọi người. Tiếp cận với dịch vụ chăm sóc răng miệng rất quan trọng trong việc làm giảm bệnh răng miệng và vì thế nâng cao sức khỏe tổng thể của mõi người.
Đại dịch COVID-19 đã tác động lớn đến việc tiếp cận dịch vụ nha khoa, ngoại trừ trường hợp khẩn cấp, phần lớn mọi người hạn chế đến phòng khám nha khoa, mặc khác các phòng khám nha khoa hầu như đóng cửa để chống dịch mặc dù vẫn được phép mở cửa đón khách. Điều này đã hạn chế khả năng tiếp cận dịch vụ chăm sóc định kỳ của mọi người và vì thế tăng nguy cơ về các bệnh răng miệng.
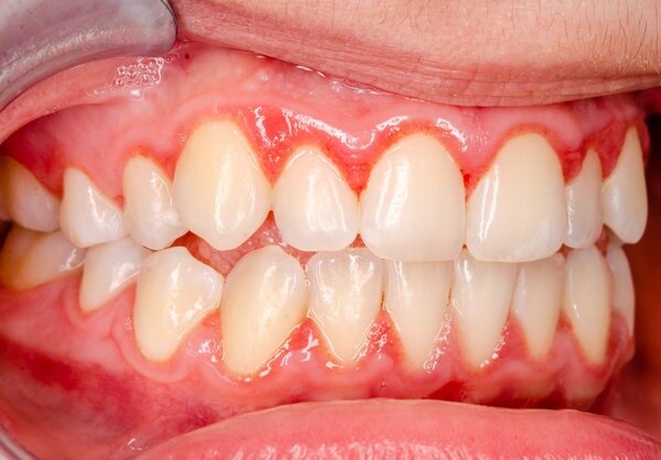
COVID-19 và bệnh viêm nướu răng:
Viêm nướu răng là tình trạng các mô mềm bao xung quanh răng bị tổn thương, xuất hiện các vết sưng đỏ.
Một số triệu chứng của viêm nướu bao gồm:
- Nướu sưng đỏ.
- Dễ chảy máu nướu răng khi đánh răng hoặc dùng chỉ nha khoa.
- Hơi thở có mùi hôi.
- Cảm giác đau khi nhai.
- Tụt nướu răng, làm lộ chân răng, bạn dễ dàng nhận thấy rằng răng mình dài hơn bình thường
- Răng bị di chuyển về phía trước hoặc sau, có sự thay khoảng cách giữa các răng.
- Răng lung lay, dễ ê buốt khi ăn nhai, răng bị sâu,…

Vệ sinh răng miệng kém có thể dẫn đến sự tích tụ của vi khuẩn bám vào răng và hình thành mảng bám răng. Đây là nguyên nhân phổ biến gây ra bệnh viêm lợi.
Các tác giả của một báo cáo trường hợp năm 2021 Điều này tạo điều kiện cho mảng bám răng phát triển, làm tăng nguy cơ viêm lợi.
Các nhà nghiên cứu cũng cho rằng chảy máu nướu răng có thể là một triệu chứng của COVID-19. Họ quan sát thấy rằng các triệu chứng của bệnh viêm lợi giảm sau khi COVID-19 giảm bớt.
Tuy nhiên, những phát hiện này dựa trên một nghiên cứu của ba người. Cần có thêm nhiều nghiên cứu trong một quần thể rộng hơn để xác nhận chúng.
COVID-19 có thể gây ê buốt răng không?
Dường như không có bất kỳ nghiên cứu nào cho thấy có mối liên hệ trực tiếp giữa COVID-19 và sự nhạy cảm của răng.
Một người bị ê buốt răng khi men răng, là lớp cứng bên ngoài bảo vệ răng, bị hư hỏng hoặc yếu đi.
Một số triệu chứng của ê buốt răng bao gồm:
- Đau hoặc khó chịu khi nhai
- Nhạy cảm với thức ăn nóng hoặc lạnh
- Đau sau khi tiếp xúc với không khí lạnh
- Nhạy cảm với thức ăn và đồ uống ngọt hoặc có tính axit
Đối với những trường hợp nhạy cảm nhẹ của răng, một người có thể sử dụng kem đánh răng khử nhạy cảm. Họ cũng có thể thử sử dụng bàn chải đánh răng mềm hơn.
Nếu các triệu chứng vẫn tiếp tục, bạn nên hỏi ý kiến nha sĩ.
COVID-19 và chứng khô miệng:
Khô miệng hay còn gọi là chứng khô miệng xảy ra khi không có đủ nước bọt để giữ ẩm cho miệng. Điều này gây khó khăn cho việc phân hủy thức ăn, rửa sạch các mảnh thức ăn ra khỏi miệng và nuốt thức ăn.
Khô miệng có thể là triệu chứng ban đầu của COVID-19 và đây là một trong những triệu chứng miệng phổ biến nhất được 108 người báo cáo trong một nghiên cứu trên tạp chí The Lancet. Tuy nhiên, lý do cho điều này vẫn chưa rõ ràng.
Các tác giả nghiên cứu nói rằng khô miệng có thể là ảnh hưởng trực tiếp của virus SARS-CoV-2 lây nhiễm và làm tổn thương các tuyến nước bọt. Nó cũng có thể xảy ra do vệ sinh răng miệng kém hoặc do tác dụng phụ của việc điều trị bằng COVID-19.
Nếu không điều trị, khô miệng có thể làm tăng nguy cơ sâu răng và nhiễm trùng trong miệng.

COVID-19 và loét miệng
Giống như các bệnh nhiễm vi rút khác, SARS-CoV-2 làm suy giảm hệ thống miễn dịch và khiến một người dễ mắc các bệnh thứ phát khác.
Một số người Nguồn tin cậy phục hồi sau nhiễm trùng này đã quan sát thấy vết loét trong miệng của họ. Đối với một số người, các bác sĩ nhận thấy những vết loét này giống như tưa miệng, trong khi những vết loét khác có vẻ không đặc hiệu.
Vết loét có thể phát triển thành một mảng trắng trên lưỡi, lợi hoặc vòm miệng.
Một số triệu chứng khác bao gồm:
- Mụn trắng hoặc đỏ trong miệng
- Đau âm ỉ
- Khó chịu khi ăn uống
- Cảm giác nóng bỏng
Thông thường, vết loét miệng có xu hướng tự khỏi sau 1-2 tuần. Bạn nên tham khảo ý kiến nha sĩ nếu vết loét kéo dài hơn 3 tuần, vì điều này có thể chỉ ra một bệnh nhiễm trùng cơ hội khác.
Bạn có thể sử dụng nước súc miệng kháng khuẩn, gel hoặc kem bôi tại chỗ mua ở nhà thuốc (thuốc không kê toa) hoặc xin ý kiến nha sĩ của bạn .
COVID-19 có thể gây nứt răng không?
Theo Hiệp hội Nha khoa Hoa Kỳ, các nha sĩ đã ghi nhận sự gia tăng 59% tình trạng nghiến răng và sự gia tăng 53% tình trạng nứt kể từ khi bắt đầu đại dịch COVID-19.
Họ cho rằng điều này có thể xảy ra do tăng mức độ lo lắng và căng thẳng trong đại dịch và tư thế không tốt do môi trường làm việc tại nhà.
Các nha sĩ giải thích rằng lo lắng và tư thế sai có thể dẫn đến nghiến răng nhiều hơn. Đây là những hành vi không tự chủ bắt nguồn từ căng thẳng gia tăng. Kết quả là làm tăng áp lực lên răng, làm mòn răng và dễ bị nứt hơn.
Trường hợp răng bị mẻ hoặc nứt cũng đã xảy ra ở những người bị COVID-19 nặng. Một nghiên cứu cho thấy những người đang được chăm sóc đặc biệt, chẳng hạn như những người cần máy thở, sẽ gặp phải một loạt các biến chứng, kể cả bị mẻ răng.

Trong bối cảnh gia tăng các bệnh răng miệng trong đại dịch, các nhà nghiên cứu đang cố gắng xác định xem liệu chúng có phải là do COVID-19 hay do các yếu tố phụ như căng thẳng, tư thế không tốt hoặc các tình trạng khác.
Mặc dù chưa có bằng chứng cụ thể về mối liên hệ chắc chắn giữa COVID-19 với sức khỏe răng miệng, nhưng mọi người nên cố gắng giữ vệ sinh cá nhân và răng miệng như là một biện pháp phòng chống dịch bệnh.

