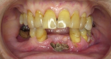
Một nghiên cứu mới đã chỉ ra rằng bisphosphonates (BP), một loại thuốc thường được sử dụng để điều trị các bệnh về xương như chứng loãng xương, có liên quan với tăng nguy cơ phát triển bệnh xương nghiêm trọng của hàm trên và hàm dưới. Các nhà nghiên cứu thấy rằng bệnh nhân, đặc biệt là người cao tuổi, đã được tiêm BP qua đường tĩnh mạch thì tăng nguy cơ hoại tử xương hàm (ONJ).
Nghiên cứu được thực hiện với 3.216 bệnh nhân nam và nữ tuổi từ 20 tuổi trở lên, chủ yếu là chẩn đoán bị loãng xương và các loại ung thư khác nhau. Họ đã từng nhổ răng ở Bệnh viện Đại học Kyoto tại Khoa Phẫu thuật Hàm Mặt từ tháng 4 năm 2006 đến tháng 6 năm 2009. Khoảng 4% (126 người) được chỉ định uống (99 người) hoặc chỉ định tiêm BP tĩnh mạch (27 người), trong khi 96% còn lại (3090 người) đã không điều trị bằng BP.
Các nhà nghiên cứu phát hiện ra rằng 42 tháng sau khi nhổ răng, tỷ lệ mắc bệnh hoại tử xương hàm cao hơn đáng kể trong số các bệnh nhân đã được chỉ định dùng BP. Theo nghiên cứu này, 5 bệnh nhân sử dụng BP bị hoại tử xương hàm so với chỉ có 1 bệnh nhân trong nhóm kiểm soát.
Các nhà nghiên cứu quan sát thấy sự khác biệt đáng kể liên quan đến tuổi và tỷ lệ ung thư hay loãng xương giữa hai nhóm. Theo các nhà nghiên cứu, tỷ lệ nguy cơ hoại tử xương hàm đặc biệt cao ở những bệnh nhân ở độ tuổi trên 65 tuổi đã được tiêm BP tĩnh mạch.
Ngoài ra, Các nhà nghiên cứu thấy rằng sự tiêu xương ổ răng có thể là nhân tố thúc đẩy ngoại tử xương hàm do bisphosphonates gây ra sau khi nhổ răng. Vì vậy, các nhà khoa học cho rằng viêm nha chu có thể làm cho người ta mắc bệnh và điều trị dự phòng vi khuẩn răng miệng là cần thiết để có kết quả tốt cho việc nhổ răng.
BP thường được chỉ định để ngăn ngừa tiêu xương, giảm đau và tăng mật độ xương ở những bệnh nhân bị rối loạn chuyển hóa xương. Một nghiên cứu được công bố vào Tháng Chín năm 2003 trên Tạp chí Quốc tế Phẫu thuật Răng mặt (International Journal of Oral and Maxillofacial Surgery) lần đầu tiên cho rằng hoại tử xương hàm là tác dụng phụ của điều trị bằng bisphosphonate. Trong các tài liệu hiện tại, ước tính tỷ lệ bisphosphonate gây ra hoại tử xương hàm dao động từ 8,3% đến 40%.
Nghiên cứu được công bố trên số ra Tháng Mười trên Tạp chí Quốc tế Phẫu thuật Răng mặt.
Theo Dental Tribune

