Laser (viết tắt của của cụm từ Light Amplification by Stimulated Emission of Radiation - khuếch đại ánh sáng bằng phát xạ kích thích) được phát minh ra đầu tiên năm 1960. Cho đến nay, trãi qua hơn năm mươi năm phát triển, Laser đã được ứng dụng rộng rãi trong nhiều lĩnh vực khoa học, kỹ thuật và đời sống. Trong ngành y nói chung và nha khoa nói riêng, tuy chỉ phát triển ứng dụng trong thời gian gần đây nhưng ảnh hưởng to lớn của nó là cuộc cách mạng trong chẩn đoán và điều trị nhờ những tính năng ưu việt của nó.

Laser trong điều trị nha khoa
Thăm khám nha sĩ định kỳ và chăm sóc răng miệng thường xuyên là biện pháp tốt nhất để giữ cho hàm răng chắc khỏe. Việc thăm khám định kỳ sẽ giúp phát hiện những dấu hiệu sớm của sâu răng. Đặc biệt, trẻ em cần được khám răng từ sớm để đánh giá khả năng phát triển những vấn đề răng miệng và xác định biện pháp điều trị dự phòng khi cần thiết. Khám răng trước 1 tuổi cho phép chẩn đoán và điều trị sớm những bệnh lý và dị tật phần mềm, như tật dính lưỡi xuất hiện từ lúc mới sinh ra. Tuy nhiên, rất nhiều người, nhất là trẻ em, e ngại khi đi khám răng vì sợ đau, sợ ê răng và nhất là sợ những tiếng kêu ro ro của tay khoan … (dù rằng không phải lúc nào cũng cần thiết). Với sự phát triển của khoa học kỹ thuật, nhiều công nghệ hiện đại đã được ứng dụng trong khám và điều trị răng, trong đó có ứng dụng laser có những ý nghĩa quan trọng.
Công nghệ laser cho phép nha sĩ thực hiện những thao tác nha khoa chính xác, chỉ loại trừ những mô bị hư và bảo tồn những cấu trúc răng mạnh còn lại. Các bệnh về răng có thể được chẩn đoán sớm nhờ chụp X-quang răng, laser hỗ trợ chẩn đoán sâu răng hoặc sử dụng các thiết bị phóng đại như kính lúp nha khoa hay kính hiển vi phẫu thuật nha khoa.
NHỮNG ỨNG DỤNG CỦA LASER TRONG ĐIỀU TRỊ NHA KHOA:
Có rất nhiều loại laser có thể sử dụng trong nha khoa: có những laser dùng cho chẩn đoán như Diagnodent (Kavo, Lake Zurich, Illinois). Laser Argon có giá trị trong phục hồi và phẫu thuật các mô mềm. Laser CO2 được dùng trong những phẫu thuật điều trị tổn thương rộng ở phần mềm đòi hỏi các thủ thuật làm đông tụ, bay hơi và chính xác trong cắt mô mềm. Riêng đối với bệnh nhân là trẻ em do sự hợp tác kém và những cử động có thể có trong lúc điều trị nên Laser CO2 không được lựa chọn trong việc điều trị cho trẻ em.

C-LD-5 WhiteStar 5watt 810nm
Ưu điểm của phương pháp sử dụng laser trong điều trị nha khoa:
· Thủ thuật chính xác hơn và gây ít tổn thương (do nhiệt làm mau lành mô xung quanh và ít chảy máu) hơn các thiết bị phẫu thuật điện.
· Giảm thời gian ngồi trên ghế cho liệu pháp phục hồi giống nhau.
· Loại trừ được chuyển động rung, mùi và yếu tố sợ hãi khi sử dụng tay khoan nhanh.
· Giảm hoặc loại bỏ được gây tê tại chỗ, các vết khâu, thuốc giảm đau hay kháng sinh.
· Laser nha khoa giảm thiểu chảy máu vì các chùm ánh sáng với năng lượng cao giúp cho sự đông nhanh hơn.
· Giảm thiểu nhiễm trùng do vi khuẩn bởi vì các tia Laser với năng lượng cao sẽ diệt trùng một cách tuyệt đối trên những khu vực được điều trị.
· Thiệt hại cho mô xung quanh được giảm thiểu. Vết thương lành nhanh hơn và các mô có thể được tái sinh.
Nhược điểm của phương pháp sử dụng laser trong điều trị nha khoa:
· Phải tuyệt đối bảo vệ mắt cho bệnh nhân và những người xung quanh trong quá trình điều trị.
· Laser khó lấy đi phần mô răng hư ở những lỗ sâu răng lớn, lỗ sâu răng mặt bên; Không thể lấy đi miếng trám cũ, miếng trám vỡ.
· Không thể dùng mài răng trong các trường hợp làm mão răng, cầu răng hoặc làm inlays, onlays...
· Không thể dùng để trám những răng có miếng trám cũ.
· Đối với một số bệnh nhân nhạy cảm, Laser cũng không thể dùng tạo xoang trám răng mà không cần gây tê.
· Chi phí cho việc điều trị trám răng bằng Laser còn quá cao.
1. Ứng dụng của laser trong điều trị mô mềm:
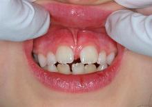
1.1. Tật dính lưỡi:
Tật dính lưỡi khá phổ biển ở trẻ mới sinh và là một phần quan trọng trong vấn đề nuôi con bằng sữa mẹ. Tật dính lưỡi được chẩn đoán ở 3.2% bệnh nhân trẻ em, sự dính bất thường của phanh lưỡi là một trong những bất thường bẩm sinh hay bị chẩn đoán nhầm và hay bị bỏ qua nhất. Điều trị phục hồi chức năng cho tật dính lưỡi ở trẻ sơ sinh với laser không cần đến thuốc giảm đau hoặc gây tê tại chỗ. Sau khi điều trị hoàn thành, trẻ có thể bắt đầu chăm sóc và người chăm sóc phải báo cáo ngay tình hình giảm đau, những khoảng chăm sóc mở rộng thêm và cải thiện thời gian ngủ của trẻ. Việc phục hồi lưỡi có thể giúp sửa lại nhiều lỗi về phát âm.
|
|
|
|
Trước |
Sau |
|
Laser điều trị tật dính lưỡi ở trẻ em |
|
1.2. Phanh môi bám bất thường ở hàm trên:
Kiểm tra miệng của trẻ sơ sinh có thể phát hiện phanh môi hàm trên bám vào mào xương ổ răng và trong trường hợp nghiêm trọng có thể bám sâu đến giữa các răng cửa và bám vào hàm ếch. Điều này có thể gây khe hở giữa các răng cửa, làm cho môi dễ bị tổn thương do bị kẹp giữa các răng cửa, gây khó khăn liền thương và có thể gây cản trở việc vệ sinh răng miệng. Ở trẻ mới sinh, việc phanh môi hàm trên khó cử động có thể gây cản trở việc ngậm vú và gây ra những vấn đề với việc nuôi con bằng sửa mẹ. Nên thực hiện phẫu thuật khi trẻ ở trong khoảng 8 đến 18 tháng tuổi. Bệnh nhân được chuẩn bị theo phương pháp thông thường với laser phù hợp, kính bảo vệ và một lượng nhỏ chất gây tê tại chỗ được đưa vào khu vực phanh môi. Năng lượng laser được hướng đến chỗ bám của phanh môi và khu vực giữa hai răng cửa. Không cần sử dụng mũi khâu. Quá trình hậu phẫu thông thường không có vấn đề gì xảy ra, thường không cần tới một liều thuốc giảm đau nhẹ như ibuprofen.
Các trường hợp khác như phanh môi hàm dưới, phanh má đều có thể can thiệp như trên.
|
|
|
|
Trước |
Sau |
|
Laser điều trị phanh môi hàm trên |
|
1.3. Bộc lộ răng cho điều trị chỉnh nha:
Có nhiều bước sóng có thể được sử dụng để loại bỏ phần mô mềm che phủ lên những răng vĩnh viễn, phục vụ cho chỉnh nha, nhưng chỉ có Erbrium laser có thể loại bỏ phần mô mềm và xương. Khi chỉ cần loại bỏ mô mềm. Phẫu thuật thường được tiến hành mà không cần đến tiêm tê tại chỗ, chỉ cần chất tê bôi. Laser được gợi ý là Er:YAG 30hz 45mj có bước sóng 2940nm, Cr:YSGG 20hz 70 mj. Khi sử dụng những thiết bị erbrium, cần cẩn thận khi tới lớp men răng để tránh sự ăn mòn axít, do đó khi lớp men răng được bộc lộ, đầu laser phải được giữ ở vị trí song song ở bề mặt của răng. Khi sử dụng Nd:YAG hoặc diode cho những điều trị này, không gây nên ăn mòn axít hoặc làm tổn thương lớp men răng bởi vì bước sóng của hai laser này không tác động đến cấu trúc răng.
1.4. Phẫu thuật tạo đường viền nướu và loại bỏ phần hư tổn của lợi đối với những bệnh nhân chỉnh răng: Tăng cường tạo tế bào và kéo dài thân răng trong điều trị sâu răng.
Trong những trường hợp mô lợi quá sản do tác dụng của các loại thuốc như dilantin hoặc những trường hợp vệ sinh răng miệng kém ở người đang đeo khí cụ chỉnh nha, laser có thể được sử dụng để tạo lại hình dáng hoặc loại bỏ phần mô lợi dư. Khi phục hồi lại các răng bị sâu dưới lợi, laser có thể loại bỏ phần lợi để tạo thuận lợi cho việc phục hồi mà không gây chảy máu. Phần lớn những điều trị này có thể thực hiện mà không cần gây tê tại chỗ và chỉ gây 1 chút không thoải mái sau điều trị.
|
|
|
|
Trước |
Sau |
|
Laser điều trị phục hồi nướu răng |
|
Trong thủ thuật thẩm mỹ, thường cần phải điều chỉnh đường viền nướu trước khi bọc veneer sứ hoặc mão sứ. Thủ thuật này được thực hiện với dao mổ và phải khâu vết thương. Thông thường phải mất 6-8 tuần để lành vết thương trước khi tiến hành gắn sứ. Đây là thủ thuật thẩm mỹ chuyên môn cao mà không phải bất kỳ nha sĩ nào cũng có thể thực hiện tốt được. Nụ cười của bạn được tạo bởi môi, răng và nướu, chúng hài hòa với nhau. Với tia laser điều chỉnh đường viền nướu, nướu và xương quanh răng có thể được định hình lại và điều chỉnh cân đối giữa môi, răng và nướu một cách nhanh chóng và không đau đớn và không cần khâu vết thương hoặc sưng. Thường thì mão răng hoặc verneer có thể được hoàn thành tại thời điểm hẹn của bạn hoặc trong vòng một đến hai tuần.
1.5. Sinh thiết:
Laser là công cụ rất tốt trong việc sinh thiết một mô mềm. Tất cả mẫu bệnh phẩm nên được đưa tới phòng thí nghiệm mô bệnh học để chẩn đoán và cần nói với người làm giải phẫu bệnh về việc sinh thiết bằng laser. Việc loại bỏ mô thương tổn thường yêu cầu phải gây tê tại chỗ, nhưng thủ thuật này ít khi cần khâu, chảy máu rất ít và không có hoặc chỉ có ít khó chịu sau khi phẫu thuật. Những thiết bị như argon, diode và Nd: YAG rất tốt với những tổn thương có sắc tố hoặc tổn thương mạch máu. Trong khi đó những mô tổn thương không có sắc tố lại được điều trị tốt hơn bằng laser erbium hoặc CO2 laser do bị hấp thu bởi nước trong vết thương.
1.6. Điều trị các biến chứng do mọc răng:
Không hiếm những đứa trẻ cảm thấy khó chịu khi răng hàm vĩnh viễn đầu tiên mọc lên, gây sưng tấy hoặc nhiễm khuẩn mô bao phủ răng đang mọc. Những trẻ vị thành niên và người trưởng thành thường xuyên cảm thấy điều này với răng khác (ví dụ răng khôn). Laser có thể được sử dụng ở trạng thái không tiếp xúc để cắt bỏ mô xung quang và bộc lộ thân răng lâm sàng. Trong phần lớn trường hợp, điều trị với laser có thể được hoàn thành mà không cần gây tê tại chỗ.
1.7. Điều trị Aphteuse và các tổn thương Herpes:
Một trong những điều trị dễ nhất và đánh giá cao nhất khi sử dụng laser là điều trị những vết loét áp aphteuse đơn lẻ hoặc bệnh viêm miệng aphteuse tái phát nhiều lần. Điều trị cần cài đặt trạng thái năng lượng thấp và laser được hướng đến vùng thương tổn ở trạng thái không tiếp xúc. Những vùng liên quan được chiếu laser trong những khoảng từ 15 đến 30 giây, không dùng gây tê tại chỗ và được lặp lại 3 đến 4 lần cho đến khi người bệnh cảm thấy dễ chịu. Một điều rất quan trọng là phải đảm bảo tất cả mọi người sử dụng kính, mặt nạ và máy hút tốc độ cao. Trong phần lớn trường hợp người bệnh cảm tháy thoải mái ngay sau đó. Trong Herpes môi, sử dụng laser khi có những triệu chứng đầu tiên có tác dụng làm giảm tổn thương trên khu vực đó và có thể ngăn ngừa sự phát triển của tổn thương Herpes hoàn toàn từ quá trình đang phát triển.
|
|
|
|
Trước |
Sau |
|
Điều trị tổn thương Herpes |
|
2. Ứng dụng của laser trong điều tủy:
Với những răng sống, laser được cài ở chế độ 20-30 hz 50 đến 70mj để làm sạch khoang tủy trong 10 đến 20 giây. Laser dường như cung cấp sự cầm máu đủ và cho phép một số mô sống còn lại ở chóp răng. Với những răng chết, tỉ lệ thành công của laser gần như ngang bằng với các cách lấy tủy truyền thống.
3. Ứng dụng của laser trong điều trị mô cứng:
Hiệu quả của việc sử dụng laser trong việc loại bỏ tổ chức sâu là an toàn và được đánh giá tốt trong các dữ liệu trong nha khoa. Laser tránh được việc tác động đến cấu trúc qui mô làm nứt vỡ thường xuyên xảy ra khi sử dụng tay khoan truyền thống và trong phần lớn trường hợp, nó không cần đến việc gây tê tại chỗ để chuẩn bị cho việc phục hồi răng. Khi sử dụng Erbium laser để loại bỏ mô răng sâu, mức độ thoải mái của bệnh nhân được điều trị thành công tùy thuộc vào nhiều biến số và trải nghiệm của người bệnh với những điều trị về răng miệng trước đây. Nguyên tắc quan trọng nhất là sử dụng cài đặt bé nhất có thể để hoàn thành điều trị - việc sử dụng nhiều năng lượng không có nghĩa là điều trị sẽ tốt hơn.
Mặc dù điều trị bằng laser có thể được hoàn thành bởi các nha sĩ với việc quan sát trực tiếp, nhưng sử dụng các phương tiện phóng đại sẽ có lợi hơn. Việc phóng đại cho phép nha sĩ nhìn một cách cụ thể laser đang cắt cái gì. Theo kinh nghiệm của tác giả, trẻ em điều chỉnh tốt với kính hiễn vi, ngồi yên và không cảm giác khó chịu với kính hiển vi tiếp, nhưng sử dụng các phương tiện phóng đại sẽ có lợi hơn. Việc phóng đại cho phép nha sĩ nhìn một các cụ thễ laser đang cắt cái gì. Thông thường, trẻ em điều chỉnh tốt với kính hiển vi, ngồi yên và không cảm giác khó chịu với kính hiển vi .
3.1 Đặt chất trám bít
Laser cho phép nha sĩ làm sạch, diệt khuẩn và hình dung một cách rõ ràng những đường rãnh trên men. Hơn nữa, các nghiên cứu đã cho thấy rằng lớp men ăn mòn do laser erbrium có những tinh chất tương tự như men ăn mòn do axit. Laser cần nước để loại bỏ mô răng sâu và xoi mòn răng . Việc đặt những chất trám bít thông thường , bao gồm cả axit xử lý ngà có thễ được tiến hành sau đó.
3.2 Loại bỏ răng sâu và chuẩn bị cho răng
Laser erbrium có thể được sử dụng cho các điều trị của bất kì loại răng sâu nào. Đầu laser nên được giữ vuông góc với bề mặt cần cắt để tăng hiệu quả cắt. Laser erbrium có khả năng làm giảm lượng vi khuẩn của mô cần phẫu thuật và thường tạo ra hiệu quả giảm đau trên mô đó. Nếu cần thiết, một tay khoan tốc độ chậm có thể sử dụng để hoàn thành việc loại bỏ mô răng sâu ở sâu mà không cần gây tê tại chỗ.

Laser sử dụng trong trám răng
Tuy nhiên, nhược điểm phương pháp sử dụng laser trong loại bỏ sâu răng là Laser khó lấy đi phần mô răng hư ở những lỗ sâu răng lớn, lỗ sâu răng mặt bên; Không thể lấy đi miếng trám cũ, miếng trám vỡ.
4. Kết hợp điều trị mô cứng và mô mềm:
Có rất nhiều điều trị phẫu thuật liên quan đến mô cứng và mô mềm trong nha khoa, như phẫu thuật cắt cuống răng hay lấy bỏ răng ngầm trong xương. Laser Erbium rất lý tưởng cho những phẫu thuất này và có rất nhiều loại đầu laser, chế độ cài đặt và nước có thễ được sử dụng.
5. Những ứng dụng khác của laser trong nha khoa:
- Xem các mô răng và nướu: chụp cắt lớp gắn dính quang học là một cách an toàn hơn để nhìn thấy bên trong răng và nướu theo thời gian thực.
- Các khối u lành tính: laser nha khoa có thể được sử dụng cho việc loại bỏ các khối u lành tính không gây đau đớn và không vết khâu từ nướu răng, vòm miệng, hai mặt của má và môi.
- Tái Sinh tế bào thần kinh: Laser Photobiomodulation có thể được sử dụng để tái tạo các dây thần kinh bị hư hỏng, mạch máu và vết sẹo.
- Ngưng thở khi ngủ: Trong trường hợp ngưng thở khi ngủ là một kết quả của một mô phát triển quá mức trong cổ họng, thủ thuật laser Uvuloplasty hoặc laser palatoplasty (LAUP) có thể được thực hiện để thay đổi hình dáng cổ họng và làm giảm khó thở tương ứng liên quan đến ngưng thở khi ngủ.
- Tẩy trắng răng: laser nha khoa cường độ thấp mô mềm có thể được sử dụng để tăng tốc độ quá trình tẩy trắng răng.
- Điều trị viêm khớp thái dương: laser nha khoa có thể được sử dụng để nhanh chóng giảm đau và viêm khớp thái dương hàm.
|
|
|
|
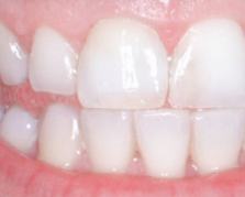
Trước |
Sau |
|
Laser tẩy trắng răng |
|
KẾT LUẬN:
Sự ra đời của Laser Nha khoa đã làm thay đổi những phương pháp điều trị. Những loại laser như Argon, CO2, và erbium đã hổ trợ cho nha sỹ trong điều trị, làm giảm những căng thẳng và sợ hãi của bệnh nhân khi điều trị nha khoa. Laser cũng hỗ trợ cho nha sỹ thực hiện những can thiệp nha khoa ít xâm lấn, nhất là với trẻ em trong phẫu thuật mô cứng và mô mềm với ít khó chịu, không đau trong và sau điều trị, không nhiễm trùng và ít hoặc không chảy máu.
Laser nha khoa được xem là một phương pháp chính xác, an toàn và hiệu quả để thực hiện nhiều thủ thuật nha khoa. Tiềm năng của laser nha khoa trong cải thiện các thủ thuật nằm ở khả năng kiểm soát dòng năng lượng và thời gian tiếp xúc trên các tế bào (cho dù là nướu răng hoặc cấu trúc răng), cho phép điều trị một khu vực tập trung rất cụ thể mà không gây tổn hại các mô xung quanh. Tuy nhiên, trong điều trị bằng laser nha khoa cần lưu ý phải đảm bảo an toàn cho mắt và các mô . Có một số hạn chế như đã trình bày ở phần trên.
Nếu bạn là người hay lo lắng và đang tìm kiếm giải pháp an toàn và và tiện lợi hơn thì bạn có thể tìm kiếm các nha khoa có sử dụng kết hợp các kỹ thuật laser nha khoa vào những điều trị.
Tại Nha khoa Tân Hoàn Mỹ, chúng tôi đã và đang triển khai ứng dụng laser trong một số thủ thuật điều trị nha khoa như tẩy trắng răng, trám răng và ứng dụng trong phẫu thuật răng miệng. Về chi phí, Nha khoa Tân Hoàn Mỹ vẫn áp dụng như những thủ thuật theo phương pháp truyền thống.
Tài liệu tham khảo:











