Composite lần đầu được sử dụng để phục hồi trong nha khoa từ những năm 1960. Từ đó, ứng dụng của composite ngày càng được mở rộng, chỉ định cho cả răng cửa và răng hàm.
Những vật liệu hiện đại cho phép thực hiện phục hồi có tính thẩm mỹ cao nhưng lượng mô răng bị mất lại là tối thiểu. Đây là một ưu điểm rõ ràng, đáp ứng được mục tiêu của nha sỹ là giữ được càng nhiều mô tự nhiên càng tốt.
Composite được ứng dụng thành công ở răng trước trong việc tái tạo lại cấu trúc răng mất do sâu, gẫy hoặc mòn. Nó cũng phù hợp trong những trường hợp phục hồi phức tạp mà vẫn đáp ứng được đòi hỏi thẩm mỹ chính xác, ví dụ như trường hợp trám kẻ răng thưa hoặc làm thẳng hàng lại răng.
Ngày nay, các nha sĩ có thể lựa chọn composite để sử dụng từ rất nhiều hệ thống composite khác nhau từ các nhà sản xuất khác nhau. Một loại vật liệu được xem là lý tưởng nhất, nếu các đặc tính vật lí, hóa học của nó cho phép dễ sử dụng, bền, độ cứng và đặc tính quang học tương tự như răng thật. Nha sĩ cần phải có kiến thức đầy đủ về composite, từ những đặc tính của vật liệu, tính chất cơ lý, độ kết dính cho tới hướng dẫn sử dụng và cách thức sử dụng để đạt được những kết quả có thể dự đoán được và bền theo thời gian.
Mòn răng là quá trình mất cấu trúc răng, là vấn đề thường xuyên xảy ra ở mọi lứa tuổi. Nguyên nhân của mòn răng rất khác nhau. Tật nghiến răng là một nguyên nhân gây mòn răng và rất khó xác định mức độ phổ biến của nó. Tuy nhiên vấn đề đặt ra cho nha sĩ là làm sao tìm ra phương pháp điều trị ít xâm lấn nhất để giải quyết vấn đề này?
Báo cáo trường hợp lâm sàng
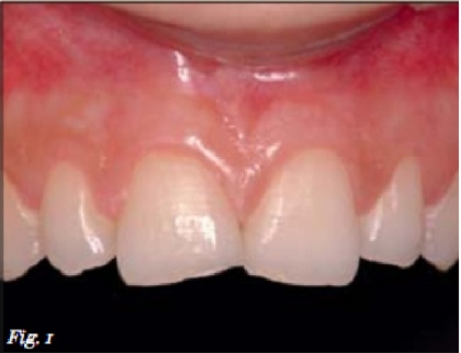
Bệnh nhân nữ 27 tuổi đến phòng khám với tình trạng bị mòn nặng các răng cửa trên (Hình 1). Cô ấy nói rằng, hai năm nay, những răng cửa giữa của cô ấy ngày càng nhỏ đi và hình dạng của nó dần thay đổi. Nha sĩ phát hiện ra rằng cô bị mòn răng là do tật nghiến răng vào ban đêm.

Bệnh nhân yêu cầu điều trị tật nghiến răng và khôi phục lại hình dạng răng như ban đầu. Lúc đầu, bệnh nhân được khám lâm sàng và chụp XQ; Tình trạng ban đầu đã được ghi lại bằng hình ảnh. Sau đó, lấy mẫu nghiên cứu. Phương án được chọn là trám tái tạo để giữ tối đa mô răng (điều trị xâm lấn tối thiểu).
Chỉ 1/3 phía rìa cắn của những răng cửa hàm trên cần phải phục hồi lại bằng composite. Chức năng và giải phẫu của các răng được đánh giá bằng cách làm mẫu sáp (wax-up) chấn đoán (Hình 2). Kết quả dự tính được giả lập trong khoang miệng bằng một khóa silicone, cho phép bệnh nhân nhìn thấy đặc điểm thẩm mĩ và chức năng trước khi bắt đầu tiến hành phục hồi. Khóa silicone được sử dụng phổ biến để tham khảo nhằm tạo ra hình dạnh răng giống như đã xác định ở giai đoạn đầu của quá trình điều trị.
Sau khi bệnh nhân được thông báo đầy đủ về kế hoạch điều trị, các thao tác phục hồi được bắt đầu.
Bước đầu tiên, rìa cắn được tạo vát nhẹ. Cần phải cẩn thận loại bỏ mô răng ít nhất có thể để giữ lại mô răng tốt nhất và đảm bảo sự khít sát của phục hồi. Bước tiếp theo, vùng men được soi mòn với dung dịch axit phosphoric rồi được bôi chất dán ExciTEF (Ivoclar Vivadent) (Hình 3).
Hình 2: mẫu sáp (wax-up) chẩn đoán. Hình 3: chất dán được bôi ở rìa men.
Trường hợp này, nha sĩ quyết định sử dụng hệ thống phục hồi composite của IPS Empress (Ivoclar Vivadent). Vật liệu được đặt từng lớp sử dụng khóa silicone được làm từ trước. Khóa silicone cho phép tái tạo lại hình dạng giải phẫu của răng tự nhiên nhất có thể (Hình 4). Để tạo được sự chuyển màu dần dần trên răng, nha sĩ sử dụng màu men A1 để làm tăng độ sáng và hiệu ứng quầng ở 1/3 phía rìa cắn của răng và tạo ra vùng trong mờ rõ. Màu ngà A2 và A1 để tạo thùy múi.
Một phần vật liệu được kéo dài đến rìa men nhằm che dấu sự chuyển tiếp giữa răng thật và miếng trám.Các đường rãnh giữa các thùy múi được lấp kín bằng Trans Opal. Cuối cùng, miếng trám được phủ 1 lớp mỏng Trans 30. Lớp này cũng mở rộng đến rìa men (Hình 5).
Từng lớp composite được chiếu đèn quang trùng hợp trong 10 giây sử dụng chế độ High Power. Lúc kết thúc đắp lớp composite, miếng trám được hoàn thiện bằng mũi khoan nhiều lá và các đĩa nhôm oxid. Cuối cùng, miếng trám phục hồi được đánh bóng cẩn thận sử dụng hệ thống đánh bóng ba bước của Astropol (Ivoclar Vivadent), sử dụng đĩa và paste nhôm oxid đến khi phục hồi đạt được độ bóng mong muốn (Hình 6).
Hình 4: Composite được đắp từng lớp sử dụng khóa sicone làm hướng dẫn.
Hình 5: Bề mặt được tạo hình theo hình dạng mong muốn trước khi composite được trùng hợp.
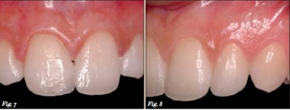
1/3 phía rìa cắn của răng cửa bên hàm trên được tái tạo tương tự như trên để đạt được đặc điểm thẩm mỹ và chức năng hợp lí (Hình 7-8).

Hình 7-8: răng cửa bên hàm trên được tái tạo với các bước tương tự.
Mặc dù răng cửa đã được trám tái tạo, nhưng có thể bệnh nhân sẽ tiếp tục nghiến răng. Vì vậy, bệnh nhân sẽ phải mang máng chống nghiến vào ban đêm.
Nghiến răng có thể làm tổn hại răng tự nhiên và bất kì phục hình nào, dù nó được làm tốt đến đâu. Kiến thức đầy đủ về cách sử dụng vật liệu, giải phẫu răng, thiết kế màu sắc và khớp cắn học,... là yếu tố quyết định thành công trong trường hợp này (Hình 10).

Hình 10: Máng chống nghiến được sử dụng để đảm bảo duy trì kết quả lâu dài

