Giải trình tự đơn tế bào lập atlas toàn diện đầu tiên về răng người hứa hẹn những phương pháp đột phá mới để điều trị trong lĩnh vực nha khoa
Trong 30 năm qua, nghiên cứu y khoa và nha khoa đã tập trung nghiên cứu các vấn đề liên quan đến y khoa kỹ thuật cao về tái tạo mô và gen. Những nghiên cứu về tế bào gốc và mô đã mang đến những hiểu biết mới và đưa ra những ý tưởng mới về phương pháp điều trị và tái tạo ở lĩnh vực nha khoa. Nhiều nhóm nghiên cứu đang giải quyết những câu hỏi như: Làm thế nào chúng ta có thể giúp các mô và cơ quan bị tổn thương lành trở lại? Mô bị mất có thể được tái sinh không? Làm thế nào chúng ta có thể tạo ra các quy trình chắc chắn để áp dụng cho tất cả các liệu pháp tế bào gốc?
Ứng dụng công nghệ hiện đại để giải trình tự đơn tế bào:
Một nhóm các nhà nghiên cứu dẫn đầu bởi giáo sư Thimios Mitsiadis, thuộc Viện Sinh học miệng tại Đại học Zurich và giáo sư tiến sĩ Andreas Moor, tại Khoa Khoa học và Kỹ thuật Hệ thống Sinh học tại Viện Công nghệ Liên bang Thụy Sĩ, giờ đây đã tạo ra tập bản đồ atlas đơn tế bào đầu tiên của răng người. Bằng cách sử dụng công nghệ giải trình tự đơn tế bào tiên tiến, họ có thể phân biệt từng tế bào đơn lẻ là một phần của tủy răng và nha chu. "Nghiên cứu của chúng tôi cung cấp sự hiểu biết chưa từng có về thành phần của hai mô này, vốn là đối tượng của các bệnh lý liên quan đến vi khuẩn và đặc trưng cho răng như sâu răng và viêm nha chu. Cả tủy răng và nha chu đều chứa các tế bào gốc có khả năng tái tạo lớn" giáo sư Pierfrancesco Pagella, giám đốc nghiên cứu của nhóm Mitsiadis, cho biết.

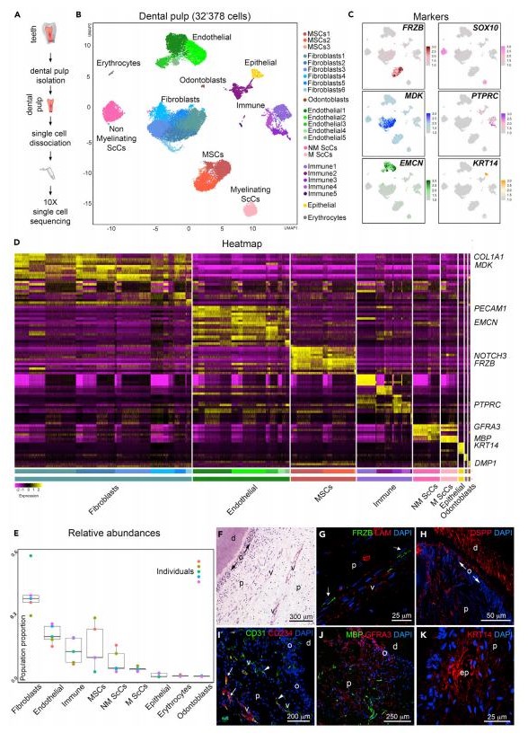
Hình giải trình tự RNA đơn tế bào răng khỏe mạnh của người lớn trưởng thành
Nghiên cứu đã xác định sự không đồng nhất của tế bào rất lớn trong tủy răng và nha chu. Thật bất ngờ, nhóm nghiên cứu nhận thấy rằng các dấu hiệu phân tử của các quần thể tế bào gốc rất giống nhau. Pagella nói: “Chúng tôi nghĩ rằng những hành vi khác nhau của chúng có thể do vi môi trường đặc biệt của chúng mang lại”. Các phát hiện cho thấy rằng tính đặc hiệu của vi môi trường là nguồn tiềm năng của sự khác biệt chức năng chính của các tế bào gốc nằm trong các khoang răng khác nhau.
Sẽ có các liệu pháp điều trị nha khoa mới dựa trên nền tảng tế bào
Nghiên cứu chứng minh sự phức tạp của các mô răng và đóng góp lớn vào việc hiểu rõ hơn về nhận dạng tế bào và phân tử của các mô răng của con người. "Phương pháp tiếp cận đơn bào có thể giúp chúng ta hiểu được sự tương tác của tủy răng và tế bào nha chu liên quan đến phản ứng miễn dịch khi bị vi khuẩn xâm phạm. Do đó, phân tích đơn bào có thể hữu ích cho mục đích chẩn đoán để hỗ trợ phát hiện sớm các bệnh răng miệng", tác giả cuối cùng Thimios Mitsiadis giải thích. Do đó, phát hiện này đã mở ra phương pháp mới trong điều trị nha khoa dựa trên tế bào.
Theo Mitsiadis, những tiến bộ này trong nghiên cứu nha khoa có thể dẫn đến các liệu pháp điều trị thích hợp hơn, tái tạo thành công các phần bị hư hỏng của răng và thậm chí là các công cụ chẩn đoán chính xác hơn trong trường hợp bệnh lý răng miệng. Ông kết luận: “Những đổi mới này là kết quả của sự hợp nhất giữa tin học sinh học và nha khoa hiện đại”.

