CBCT viết tắt của "Cone beam computed tomography" - còn gọi là chụp cắt lớp điện toán chùm tia hình nón - là một kỹ thuật chẩn đoán hình ảnh trong y khoa trong đó sử dụng chùm hình nón để tạo ra hình ảnh 3 chiều về cấu trúc răng miệng của bệnh nhân bao gồm răng, xương, nướu và dây thần kinh. Hình ảnh CBCT cung cấp nhiều thông tin độ chính xác cao hơn hẳn hình ảnh hai chiều từ các kỹ thuật chụp phim truyền thống.
Trong những năm gần đây, do sự tiến bộ của khoa học, công nghệ trở nên mạnh mẽ hơn bao giờ hết, đặc biệt là những ứng dụng số và điện toán đám mây trong điều trị nha khoa, CBCT ngày càng trở nên quan trọng trong việc chẩn đoán và lập kế hoạch điều trị nha khoa như phẫu thuật răng miệng, cấy ghép implant, nội nha và chỉnh nha. Dưới đây Nha khoa Tân Hoàn Mỹ xin giới thiệu một số ứng dụng của CBCT trong chẩn đoán và điều trị nha khoa.
1. Phục vụ cho cấy ghép Implant:
CBCT trong việc lập kế hoạch điều trị Implant sử dụng hình ảnh 3D và đa lớp cắt để xác định chính xác chiều cao, độ rộng và giải phẫu của phần xương hàm và xương ổ răng cũng như mối tương quan vùng mất răng với cấu trúc giải phẫu liền kề như ống thần kinh răng dưới. Đặt Implant với máng hướng dẫn phẫu thuật có thể được thực hiện với các dữ liệu CBCT. Với khả năng 3 chiều của CBCT, các nhà lâm sàng có thể quyết định liệu có cần đến việc ghép xương, nâng xoang trước khi đặt Implant hay không cũng như chọn kích thước implant phù hợp nhất cho từng vùng xương.

Lập kế hoạch đặt implant ảo trên phim CBCT
2. Ứng dụng trong chỉnh nha:
CBCT đã được sử dụng trong chỉnh nha nhờ vào khả năng về hình ảnh với FOV (quang trường) lớn, bao gồm tất cả những điểm mốc cho việc phân tích sọ nghiêng. Việc phân tích mối quan hệ xương hàm hình ảnh 3 chiều cần bao gồm nền sọ, xương mặt và mô mềm trên khuôn mặt
Với phim chụp CBCT, bác sĩ chỉnh nha có thể coi tình trạng răng ngầm, hướng mọc của các răng, tương quan và sự phát triển xương hàm, vị trí xương để đặt minivis, phân tích các thông số chỉnh nha về thẩm mỹ khuôn mặt, đánh giá kết quả trước và sau khi chỉnh nha của bệnh nhân.

Phân tích chỉnh nha trên phim CBCT
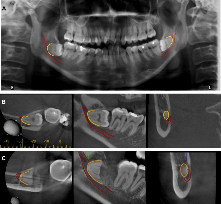
3. CBCT trong chẩn đoán răng khôn mọc lệch, mọc ngầm:
Răng khôn hàm dưới hai bên của mỗi người có đặc điểm là ít khi mọc thẳng như các răng khác trên cung hàm, có tỷ lệ cao mọc lệch hay ngầm, ảnh hưởng âm thầm đến răng phía trước nó là răng cối lớn thứ hai từ đó gây viêm lợi trùm, sâu thân răng, chết tuỷ mà bệnh nhân ít khi có triệu chứng nhận biết.
Răng khôn hàm dưới là răng trên cung hàm nằm gần với ống thần kinh răng dưới nhất và có nguy cơ cao chèn ép hay kẹp ống thần kinh, gây nguy cơ chấn thương thần kinh cao khi phẫu thuật nhổ răng khôn. Nhờ có sự giúp đỡ của CBCT, bác sĩ có thể lường trước được mối liên quan của dây thần kinh với chân răng khôn cũng như quyết định thực hiện kỹ thuật nhổ răng khôn trong một lần duy nhất hay chỉ cắt thân răng khôn, chờ chân răng trồi lên.

Răng khôn hàm dưới mọc lệch chèn ép thần kinh trên phim CBCT
4. CBCT trong điều trị nội nha:
Trong điều trị tuỷ hay điều trị nội nha, cấu trúc giải phẫu ống tuỷ phức tạp như ống tuỷ chia sâu, ống tuỷ rẽ nhánh, các ống tuỷ phụ, ống tuỷ hình C và các tình trạng bệnh lý tuỷ như sỏi tuỷ, calci hoá ống tuỷ gây khó khăn rất nhiều cho việc điều trị và không thể thấy được trên phim X quang 2D thông thường.
Với phim chụp CBCT sẽ hỗ trợ tối đa cho Bác sĩ trong việc đánh giá giải phẫu ống tuỷ theo 3 chiều không gian cũng như phân tích được những cản trở, bệnh lý ống tuỷ hỗ trợ cho điều trị tốt hơn.

Phân tích ống tuỷ chân răng trên phim CBCT
5. CBCT trong chẩn đoán bệnh lý khớp thái dương hàm:
Phim CBCT trực quan chụp khớp thái dương hàm (TMJ) mỗi bên có thể sử dụng để đánh giá cho những thay đổi của phần xương vùng này đến lồi cầu xương hàm dưới và xương thái dương cũng như tương quan lổi cầu trong hõm khớp. Những thay đổi của phần xương này có thể là kết quả của chấn thương/gãy xương, loạn sản, quá sản hay các bệnh lý về xương. Nếu việc xác minh các thành phần của mô mềm của khớp là yêu cầu của bác sĩ lâm sàng, một loại hình ảnh khác cần thực hiện như chụp cộng hưởng từ (MR) được khuyến nghị.

Đánh giá hình thái khớp thái dương hàm trên phim CBCT
6. Đánh giá đường thở trên phim CBCT
Một bệnh nhân có triệu chứng ngáy hay khó thở về đêm có thể do nguyên nhân bị hẹp đường thở, việc dùng CBCT và phần mềm phân tích đường thở có thể chẩn đoán những vùng khí quản bị hẹp bất thường dẫn đến lưu lượng khí đi qua đó giảm, hoặc tiên đoán trước những trường hợp khó thở, từ đó có thể chỉ định điều trị chỉnh nha hoặc đeo khí cụ chống ngày phù hợp.

Phân tích đường thở với biểu đồ lưu lượng khí (đa màu) trên phim CBCT
7. Phát hiện bệnh lý xương hàm:
CBCT giúp các bác sĩ phẫu thuật hàm mặt phát hiện, chẩn đoán, đánh giá độ lan rộng của các bệnh lý xương hàm xâm lấn như u nguyên bào men, nang sừng do răng, ung thư xương hàm, ….. từ đó lên kế hoạch điều trị cũng như vị trí mổ phù hợp.

U nguyên bào men được phát hiện trên phim CBCT
8. Phát hiện gãy xương và gãy răng do chấn thương:
Chấn thương răng là loại chấn thương phổ biến trong tai nạn liên quan đến vùng đầu mặt mà phim 2D có thể không thể hiện rõ đường và hướng gãy. Tương tự với gãy xương, phim CBCT sẽ thể hiện rõ nhất những đường gãy và những mảnh xương gãy để bác sĩ phẫu thuật có thể lên kế hoạch mổ kết hợp xương phù hợp và thẩm mỹ nhất.

Gãy răng và xương được phát hiện trên phim CBCT

