Nghiên cứu lớn nhất về ảnh hưởng của x-quang đã phát hiện ra rằng nếu chụp x-quang nha khoa thường xuyên, đặc biệt là ở trẻ em, gắn liền với tăng nguy cơ phát triển u màng não, loại phổ biến nhất của ung thư u não nguyên phát ở Hoa Kỳ.
Tiến sĩ Elizabeth Claus, một nhà giải phẫu thần kinh tại Bệnh viện Brigham và Women's Hospital (BWH) ở Boston và Trường Y khoa thuộc Đại học Yale ở New Haven và các đồng nghiệp, đã trình bày những phát hiện của họ trong bài báo được xuất bản trong Tạp chí Ung thư vào ngày 10 tháng 4 năm 2012.
Claus cho biết trong bài báo:
"Nghiên cứu này cho thấy rằng mặc dù x-quang nha khoa là một công cụ quan trọng trong việc duy trì sức khỏe răng miệng tốt, cần thiết cho một số trường hợp, nếu tiếp xúc ở mức độ trung bình bởi chụp hình ảnh có thể mang lại lợi ích cho bệnh nhân."
U màng não xuất hiện trong “màng não" hoặc lớp vỏ não và ước tính chiếm khoảng 33% của tất cả các loại u não nguyên phát ở Hoa Kỳ. Đây là nơi quan trọng nhất để tầm soát ung thư.
Hầu hết những yếu tố nguy cơ của loại ung thư này được xác định là do môi trường do tiếp xúc với bức xạ ion hóa và đối người Mỹ thì chụp X-quang nha khoa là cách thức phổ biến nhất để tiếp xúc với loại nguy cơ này.

Hình ảnh của Panorex x-quang
Tiến sĩ Claus và các đồng nghiệp rất cẩn thận mhấn mạnh rằng kết luận của họ chỉ khảo sát trên thế hệ X-quang cũ, không phải X-quang thế hệ mới ngày nay. (THM: Hiện nay với công nghệ hiện đại lượng tia của x-quang kỹ thuật số thấp hơn lượng tia của x-quang thông thường từ 30-40 lần. Thời gian tiếp xúc với tia x từ khoảng 0.04-0.2 giây - tức là thời gian tiếp xúc rất ngắn).
"Điều quan trọng là cần lưu ý rằng x-quang nha khoa ngày nay sử dụng liều bức xạ thấp hơn nhiều so với trong quá khứ", Tiến sĩ Claus nói.
Trong nghiên cứu của họ, Claus và các đồng nghiệp đã kiểm tra hồ sơ của 1.433 bệnh nhân ở độ tuổi từ 20 và 79 khi họ được chẩn đoán u màng não trong giai đoạn từ năm 2006 đến tháng 4 năm 2011. Họ so sánh dữ liệu của những người này với nhóm đối chứng gồm 1.350 người có đặc tính tương tự nhưng không bị chẩn đoán là u màng não.
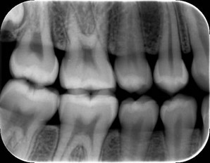
Kết quả cho thấy rằng so với nhóm đối chứng, người tham gia khảo sát với u màng não có nhiều khả năng họ đã từng chụp X-quang cắn cánh (bitewing x-quang). Đây là loại kiểm tra thấy được từng cặp thân răng của hàm trên và dưới cùng một lúc.

Hình ảnh của phim cắn cánh (bitewing)
Những người tham gia trong cuộc khảo sát đã chụp X-quang định kỳ hàng năm hoặc thường xuyên hơn, thì khả năng phát triển một khối u màng não cao hơn từ 1,4 đến 1,9 lần so với nhóm đối chứng.
Nguy cơ phát triển u màng não thậm chí còn cao hơn trong số những người tham gia khảo sát có báo cáo đã chụp phim panorex (phim toàn cảnh): có chỉ định x-quang panorex định kỳ hàng năm hoặc thường xuyên hơn thì tăng nguy cơ bị gần 3 lần và nếu ở trong độ tuổi dưới 10 thì khảng năng nguy cơ cao 4,9 lần so với nhóm đối chứng. Phim panorex là một X-quang cho thấy toàn cảnh hàm trên và dưới cũng như các răng trong cùng một phim.
Trong thông tin cơ sở của họ, Claus và các đồng nghiệp thu hút sự chú ý bởi một báo cáo khuyến nghị gởi đến Hiệp Hội Nha khoa Hoa Kỳ (ADA) kêu gọi các nha sĩ đảm bảo rằng họ đã cân nhắc những rủi ro so với những lợi ích khi chỉ định chụp X-quang nha khoa và họ đã chỉ ra rằng có rất ít bằng chứng để cổ vũ cho kế hoạch kiểm tra x-quang thường xuyên ở bệnh nhân khỏe mạnh. ADA cũng đã khuyến cáo rằng trẻ em chỉ nên được chụp x-quang nha khoa 1 lần trong 1-2năm, thanh thiếu niên chỉ nên chụp x-quang 1 lần trong 1,5-3 năm và người lớn chỉ nên kiểm tra x-quang 1 lần trong 2 đến 3 năm.
Nghiên cứu này đã được tài trợ bởi Viện Y tế Quốc gia Hoa Kỳ, Quỹ Khoa học Não và Mommas Meningioma.
Nguồn: Dental X Rays Tied To Brain Tumors - Medical News Today

