Là cha mẹ, việc thấy con mình tự tin và vui vẻ là ưu tiên hàng đầu. Chỉnh nha sớm và chăm sóc răng miệng là biện pháp quan trọng để khắc phục các khiếm khuyết mà con trẻ mắc phải cũng như nâng cao sức khỏe tổng thể cho. Bạn có tin rằng đây là thời điểm thích hợp để bắt đầu đầu tư vào sức khỏe răng miệng của mình? Dưới đây là những lợi ích của việc điều trị chỉnh nha sớm cho con bạn.
Theo Hiệp hội các bác sĩ chỉnh nha Hoa Kỳ, trẻ em nên được bác sĩ chỉnh nha kiểm tra trước 7 tuổi. Nói một cách đơn giản, không bao giờ là quá sớm để chăm sóc sức khỏe răng miệng cho con bạn. Các vấn đề về răng miệng có thể dẫn đến các vấn đề sức khỏe nghiêm trọng nếu không được điều trị kịp thời.
Việc chỉnh nha sớm có thể được lợi ích nhiều hơn là làm thẳng răng. Thật vậy, chỉnh nha sớm có thể giúp con bạn có được nụ cười khỏe mạnh duy trì lâu dài. Đặc biệt ở con trẻ, hàm và răng vẫn còn phát triển, nên việc can thiệp sớm có thể vừa răng, vừa chỉnh hàm và mặt giúp cho trẻ phát triển cân đối, ngăn ngừa các vấn đề nghiêm trọng phát triển sau này.
Việc chỉnh nha sớm có nhiều việc cần làm hơn là nắn chỉnh răng cho thẳng và xếp đều răng. Hãy theo dõi chín lợi ích của việc điều trị chỉnh nha sớm cho con bạn. Từ việc cải thiện sức khỏe răng miệng đến tăng cường sự tự tin, bạn sẽ khám phá ra lý do tại sao đầu tư vào sức khỏe răng miệng của con bạn về lâu dài có thể mang lại kết quả.
Các phương pháp điều trị chỉnh nha sớm
Khi nói đến chỉnh nha thì các ba mẹ thường nghĩ đến “niềng răng”, tức là phải gắn mắc cài, khung dây. Thật ra, đó chỉ là một phương pháp, ở trẻ em có rất nhiều lựa chọn để can thiệp, điều chỉnh các lệch lạc về răng, hàm cho trẻ em. Có thể dùng các khí cụ tháo lắp để chỉnh nha cho trẻ em.
Phương pháp chỉnh nha sớm phổ biến là sử dụng khí cụ giữ khoảng. Khí cụ này giúp đảm bảo răng phát triển bình thường bằng cách giữ khoảng trống. Điều này đặc biệt quan trọng đối với trẻ bị mất răng sữa sớm. Nó có thể ngăn chặn các răng lân cận dịch chuyển vào khoảng trống của răng đã mất và gây ra các vấn đề về răng khác.
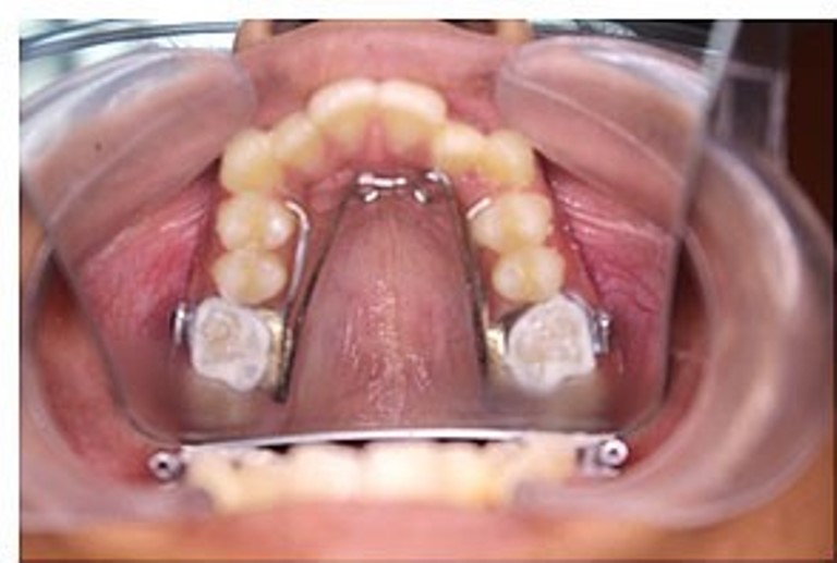
Một loại khí cụ khác có thể được sử dụng trong chỉnh nha sớm là nong hàm (Quad helix), giúp mở rộng vòm miệng và tạo thêm khoảng trống cho răng. Điều này có thể đặc biệt có lợi cho trẻ em có hàm hẹp. Điều trị này rất đơn giản nhưng giúp tránh được việc điều trị xâm lấn như nhổ răng hoặc phẫu thuật hàm sau này.

Khí cụ Quad-helix nong hàm
Đặc biệt, hiện nay Invisalign First là giải pháp chỉnh nha sớm cho trẻ dược nhiều ba mẹ quan tâm vì tính hiệu quả và giúp trẻ em tránh được các khó chịu khi phải mang mắc cài khung dây.

Sau đây Nha khoa Tân Hoàn Mỹ xin nêu 6 lợi ích của việc chỉnh nha sớm cho trẻ em
1. Cải thiện sức khỏe răng miệng
Răng thẳng, đều giúp vệ sinh răng miệng tốt hơn. Điều này khác với răng chen chúc tạo điều kiện cho vi khuẩn ẩn náu ở những vùng khó tiếp cận, khó làm sạch và vì vậy dễ bị sâu răng và bệnh nướu răng.
2. Giảm nguy cơ chấn thương
Răng khểnh có thể dễ bị tổn thương hoặc hư hỏng. Khi răng mọc lệch sẽ dễ bị lung lay hoặc sứt mẻ hơn so với răng mọc đúng vị trí.
3. Tự tin hơn
Cảm giác tự tin là tài sản vô giá có thể tác động tích cực đến cảm xúc, tương tác xã hội và các mối quan hệ của con bạn. Những đứa trẻ được chăm sóc chu đáo, có răng và nướu khỏe mạnh thường cảm thấy hài lòng về bản thân và không ngại mỉm cười.
4. Cải thiện giọng nói
Răng lệch lạc, xiêu vẹo có thể gây trở ngại cho việc nói. Răng lệch lạc có thể cản trở hoạt động bình thường của lưỡi, dẫn đến khó phát âm chính xác. Điều trị chỉnh nha (bao gồm nhưng không giới hạn bởi niềng răng) có thể điều chỉnh các sai lệch, giúp phát âm và giao tiếp tốt hơn.
5. Sức khỏe tổng thể tốt hơn
Việc chỉnh nha làm cho con trẻ có răng đều đặn, giúp bé ăn nhai tốt hơn, giúp bé tự tin đây là hai tiền đề để phát triển thể chất và tinh thần ở con trẻ. Mặc khác có được hàm răng thẳng hàng, con bạn sẽ ít gặp phải các vấn đề về răng miệng có thể dẫn đến các vấn đề sức khỏe tổng thể nghiêm trọng hơn.
6. Tiết kiệm chi phí dài hạn
Chỉnh nha sớm giúp ngăn ngừa việc phải thực hiện các thủ thuật nha khoa phức tạp trong tương lai. Vì vậy, điều khôn ngoan là ưu tiên chăm sóc chỉnh nha như một khoản đầu tư cho sức khỏe răng miệng trong tương lai của con bạn.
Nha khoa Tân Hoàn Mỹ đã thực hiện thành công rất nhiều ca chỉnh nha sớm ở trẻ em. Ba mẹ quan tâm hãy gọi hotline/Zalo 0822.811.611 để được tư vấn miễn phí nhé.

