Thắng môi, má, lưỡi là gì?
Thắng môi (còn gọi là phanh môi), má, lưỡi là những nếp gấp niêm mạc liên kết môi, má, lưỡi với niêm mạc miệng, nướu và màng xương ở dưới.
Chức năng của thắng môi, má, lưỡi
Chức năng của các thắng là để đảm bảo sự phát triển hài hoà giữa môi, má, lưỡi với các tổ chức liên quan. Khi chúng ta há miệng có thể dễ dàng quan sát thấy thắng môi và thắng lưỡi. Hai loại thắng này hay gặp những bất thường và cần phải can thiệp phẫu thuật nhiều nhất. Với thắng má thì cần phải vén má lên mới thấy được và cũng hiếm khi gây ra các vấn đề về chức năng và thẩm mĩ nên ít được chỉ định phẫu thuật.

Thắng lưỡi
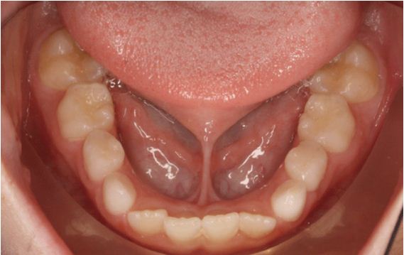
Thắng môi bám thấp
Bình thường thắng môi bám vào gianh giới giữa phần nướu di động và cố định. Tuy nhiên nhiều trường hợp thắng môi bám đến sát nhú nướu hoặc vượt qua nhú nướu vào mặt trong của xương hàm. Trường hợp này được gọi là thắng môi bám thấp. Nếu không được phát hiện sớm và điều trị kịp thời sẽ dẫn đến các vấn đề như:
- Khó khăn khi bú mẹ hoặc bú bình với trẻ sơ sinh.
- Mất nhú lợi, tụt lợi do sự co kéo quá mức của thắng môi.
- Khe thưa.
- Lệch lạc răng.
- Gây chậm liền thương khi bị chấn thương.

Thắng môi bám thấp
Thắng lưỡi ngắn
Bình thường lưỡi có thể đưa ra phía trước và hai bên, đầu lưỡi có thể đưa lên vòm miệng. Tuy nhiên, khi lưỡi bị hạn chế vận động, đầu lưỡi không thể đưa lên vòm miệng thì được gọi là dính thắng lưỡi hay thắng lưỡi ngắn. Đây là một dị tật bẩm sinh mà bất kì ai cũng có thể mắc phải. Dấu hiệu nhận biết:
- Khó bú hoặc khi bú phát ra âm thanh ở trẻ sơ sinh.
- Đầu lưỡi hình trái tim khi đưa lưỡi ra phía trước.
- Phát âm không chuẩn.
- Có thể bị xoay các răng cửa giữa hàm dưới.
Khi nào cần cắt thắng lưỡi
Trẻ em được phát hiện dính thắng lưỡi nên được can thiệp phẫu thuật càng sớm càng tốt để thuận nướu cho trẻ bú hoặc phát âm.
Phương pháp điều trị thắng môi, thắng lưỡi bám bất thường:
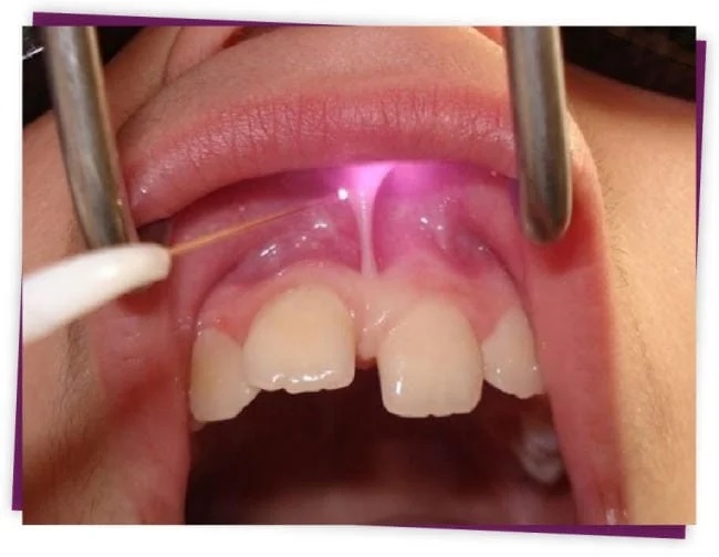
Can thiệp phẫu thuật là phương pháp tốt nhất để giúp môi, má, lưỡi cử động bình thường. Các thắng này có thể được cắt bằng lưỡi dao mổ hoặc phẫu thuật bằng tia laser dưới tiêm tê hoặc gây mê tuỳ theo độ tuổi và sự hợp tác của bệnh nhân. Nói chung đây là phẫu thuật đơn giản, không nguy hiểm và hầu như không đau. Bệnh nhân hồi phục nhanh sau phẫu thuật.

Dùng Laser để cắt thắng môi
Chăm sóc sau phẫu thuật:
- Không nên sờ tay vào vị trí phẫu thuật vì có thể gây ra tình trạng nhiễm trùng.
- Nên ăn mềm và uống nhiều nước. Không ăn đồ ăn nóng, cay ngày đầu tiên sau phẫu thuật.
- Duy trì vệ sinh răng miệng, chỗ phẫu thuật vệ sinh nhẹ nhàng và uống thuốc theo đơn của bác sĩ.
- Tập vận động môi, lưỡi theo hướng dẫn của bác sĩ để tránh tái phát.

