Các thói quen xấu như mút tay, đẩy lưỡi ra trước hoặc sang bên khi nuốt, mút môi dưới, thở miệng, cắn viết kéo dài sẽ tạo những di chuyển răng ngoài ý muốn, gây ra những lệch lạc về răng và hàm mặt. Một thói quen răng miệng xấu có thể làm di chuyển răng nếu thời gian tác động đủ dài: trên 6 giờ/ngày. Nếu thời gian tác động ít hơn 6 giờ/ngày, dù lực tác động không lớn, thói quen đó vẫn không làm di chuyển được răng.
I. Mút tay:
Hầu như các trẻ em có thói quen mút tay kéo dài đều đưa tới tình trạng sai khớp cắn. Nói chung, mút tay trong thời kỳ răng sữa không có ảnh hưởng lâu dài đến răng. Nếu thói quen này kéo dài qua thời kỳ răng vĩnh viễn bắt đầu mọc lên, sai khớp cắn là điều chắc chắn với các biểu hiện: răng cửa trên thưa và nghiêng về phía môi, răng cửa dưới nghiêng về phía lưỡi, cắn hở vùng răng trước, hẹp cung răng trên (cung răng có hình chữ V).

Răng di chuyển nhiều hay ít phụ thuộc vào thời gian tác động của thói quen. Nếu trẻ mút tay với áp lực mạnh nhưng không liên tục và thời gian không đủ lâu thì các răng di chuyển ít. Ngược lại, trẻ mút tay với áp lực nhẹ nhưng kéo dài hơn 6 giờ/ngày, đặc biệt là những trẻ mút tay suốt đêm thì sẽ bị sai khớp cắn trầm trọng.
Mút tay có thể gây ra sai khớp cắn nếu thói quen này kéo dài đến thời kỳ răng hỗn hợp. những di chuyển nhẹ của các răng sữa có thể thấy ở trẻ 3 - 4 tuổi có thói quen mút tay. Nếu thói quen chấm dứt ở thời điểm này, áp lực của môi và má sẽ tự đưa các răng về vị trí bình thường. Nếu thói quen kéo dài sau khi răng cửa vĩnh viễn đã mọc lên, cần phải điều trị chỉnh hình để giải quyết vấn đề sai vị trí của răng.
Điều trị:
-
Phần lớn trẻ 4 -5 tuổi tự bỏ thói quen mút tay.
-
Nếu trẻ không bỏ được thói quen này, cha mẹ trẻ nên chủ động đưa bé đến khám ở phòng khám chuyên khoa răng hàm mặt. Tại nha khoa Tân Hoàn Mỹ, các bác sĩ sẽ nói chuyện trực tiếp với trẻ về thói quen. Có thể trẻ sẽ bỏ dần thói quen mút tay, đặc biệt là những trẻ lớn có hiểu biết.
-
Tiếp theo, có thể các bác sĩ sẽ thảo luận với ba mẹ của trẻ để thực hiện liệu pháp “nhắc nhở” cùng với những lời giải thích. Một miếng băng keo không thấm nước dán ở ngón tay trẻ thường mút sẽ nhắc nhỏ trẻ. Có thể kèm theo những phần thưởng nhỏ cho những ngày trẻ không mút tay.
Nếu tất cả những trị liệu trên đều thất bại và trẻ thật sự muốn bỏ thói quen, các bác sĩ sẽ tư vấn cho ba mẹ trẻ dùng một băng đàn hồi quấn xung quanh khuỷu tay trẻ để ngăn việc trẻ đưa tay vào miệng. Chỉ cần mang băng đàn hồi ban đêm, trong thời gian 6 -8 tuần là đủ. Cần phải giải thích cho trẻ hiểu rằng đó không phải là hình phạt mà chỉ là giúp trẻ bỏ thói quen xấu.

Băng đàn hồi quấn xung quanh khuỷu tay nhắc nở trẻ bỏ thói quen mút tay
Cuối cùng, có thể sẽ phải cần dùng một khí cụ trong miệng để nhắc nhở trẻ. Khí cụ cố định thường được dùng hơn khí cụ tháo lắp. khí cụ gồm một cung lưỡi và một tấm chặn làm bằng dây thép không rỉ có đường kính lớn (0.9 – 1,0mm) được hàn vào hai khâu ở răng cối sữa thứ hai hoặc răng cối lớn vĩnh viễn thứ nhất hàm trên. Tấm chặn nhô ra (nhưng không được sắc bén) sẽ nhắc nhở trẻ không mút tay và trẻ cũng được giải thích rằng đây là vật nhắc nhở trẻ, không phải để trừng phạt trẻ để tránh gây vấn đề tâm lý cho trẻ. Sau khi trẻ ngưng mút tay, cần đeo khí cụ thêm 6 tháng nữa để đảm bảo thói quen được bỏ hoàn toàn.
Khí cụ cố định nhắc nhở trẻ không mút tay
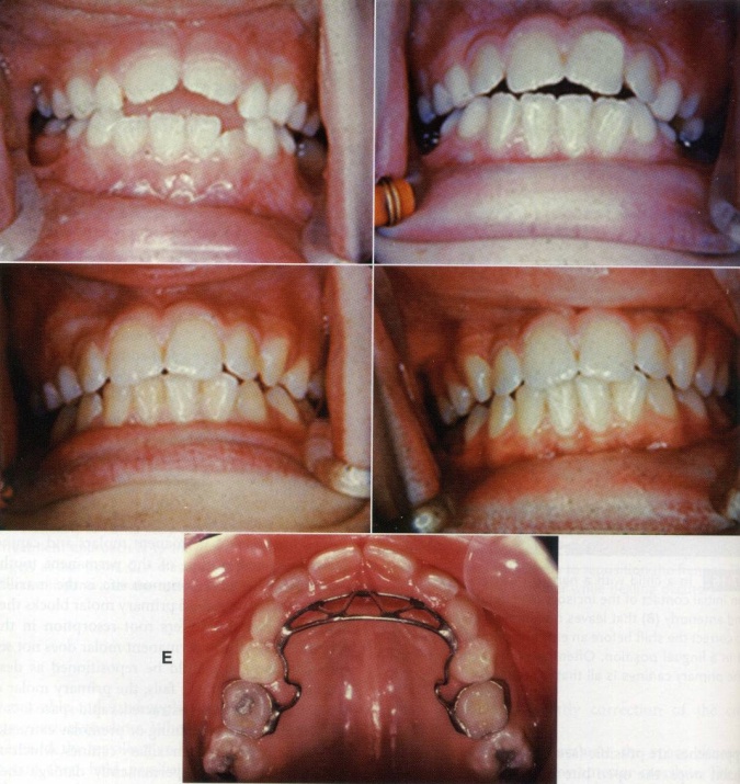
Để điều trị hẹp hàm trên với răng cửa trên thưa và nghiêng về phía trước do mút tay, cần dùng khí cụ nới rộng hàm trên và kéo lui các răng cửa trên. Ở những trẻ có tương quan xương hàm bình thường, cắn hở sẽ đươc điều trị sau khi trẻ ngừng mút tay và các răng vĩnh viễn còn lại mọc lên.

Dụng cụ nới rộng hàm
II. Đẩy lưỡi
Đẩy lưỡi ra trước khi nuốt là đặt đầu lưỡi về phía trước, chêm giữa các răng cửa trên và dưới lúc nuốt. Trước đây, đẩy lưỡi được cho là nguyên nhân gây ra các lệch lạc về răng. Thực ra, lưỡi chỉ đặt áp lực lên răng khoảng một giây trong một lần nuốt. Một người chỉ thực hiện 800 lần nuốt trong toàn bộ thời gian thức và vài lần nuốt/giờ khi ngủ trong một ngày. Như vậy, trong một ngày, mỗi người trong chúng ta chỉ nuốt chưa đến 1000 lần cho nên lực từ lưỡi đặt lên răng chỉ trong 1000 giây, tức là chưa đến 20 phút/ngày. Khoảng thời gian lưỡi tác động lực lên răng như thế là quá ít, không thể làm di chuyển răng.
Tuy nhiên, nếu một người có vị trí nghỉ của lưỡi nằm về phía trước thì lực từ lưỡi, dù rất nhẹ nhưng thời gian tác động dài, liên tục, sẽ làm di chuyển răng. Vì vậy, đẩy lưỡi được cho là nguyên nhân gây ra cắn hở răng trước.
Lưỡi có thể nằm về trước, sang hai bên hoặc vừa về trước vừa sang bên. Tùy theo vị trí của lưỡi, có thể chia ra các kiểu sai khớp cắn như sau:
-
Cắn hở vùng răng trước: do vị trí lưỡi nằm về trước và đẩy lưỡi ra trước khi nuốt.
-
Cắn hở vùng răng sau và cắn sâu: do vị trí nghỉ của lưỡi nằm về phía sau và tràn lên mặt nhai vùng răng sau, làm lún các răng sau.
-
Cắn đối đầu vùng răng trước và khớp cắn múi-múi ở vùng răng sau: do vị trí lưỡi nằm cả vùng răng trước và răng sau.
Như vậy, chức năng và vị trí lưỡi bất thường có thể là nguyên nhân của sai khớp cắn, nhưng cũng có thể là sự đáp ứng của lưỡi đối với sai khớp cắn có từ trước.
Điều trị:
Bệnh nhân cần phải được thăm khám kỹ để các bác sĩ đưa ra giải pháp điều trị thích hợp nhất. Tại Hệ thống Nha khoa Tân Hoàn Mỹ, để điều trị các tật này, bác sĩ sẽ dùng tấm chặn lưỡi cố định hoặc tháo lắp để ngăn chặn vị trí hoặc chức năng bất thường của lưỡi. Tấm chặn lưỡi làm bằng dây thép không rỉ có đường kính 0.8 mm. Vị trí của tấm chặn lưỡi có thể ở phía trước hoặc phía bên, tùy vào vị trí của lưỡi chêm giữa các răng trước hoặc răng sau.
Có thề dùng thêm tấm chặn môi để ngăn chặn sự tiếp xúc giữa lưỡi và môi trong trường hợp trẻ có kiểu nuốt đẩy lưỡi ra trước.
III. Thói quen xấu của môi
Cắn môi dưới là thói quen thường gặp nhất. Dấu hiệu dễ nhìn thấy nhất là bệnh nhân có dấu của các răng cửa trên ở môi dưới và cường cơ cằm. Môi và lưỡi có thể chạm nhau trong khi nuốt. Bệnh nhân có cắn hở vùng răng trước, răng cửa dưới nghiêng về phía lưỡi, răng cửa trên chen chúc và nghiêng về phía môi.
Cắn môi trên thường gặp ở trẻ đang đi học. Đây là một hội chứng nhằm làm giảm sự căng thẳng. Chức năng của lưỡi có thể bình thường.
Mút môi dưới có thể là nguyên phát hoặc thứ phát.
-
Trong trường hợp nguyên phát, mút môi dưới làm tăng độ cắn chìa vì làm răng cửa trên nghiêng về phía môi và các răng cửa dưới nghiêng về phía lưỡi. Bất hài hòa nhẹ theo chiều trước – sau giữa xương hàm trên và xương hàm dưới. Thói quen mút môi làm tăng độ cắn chìa từ nhẹ đến trung bình.
-
Trong trường hợp thứ phát, độ cắn chìa lớn là do bất hài hòa nhiều giữa xương hàm trên và xương hàm theo chiều trước – sau, thong thường là do hàm dưới kém phát triển. độ nghiêng ngòai – trong của các răng cửa có thể bình thường. môi dưới nằm giữa răng cửa trên và răng cửa dưới, là do đáp ứng của môi đối với sự sai lệch hình thái giữa các xương hàm.
Điều trị:
Cũng như các tật xấu khác về răng miệng ở trẻ, bạn nên đưa trẻ thăm khám ở các phòng khám chuyên khoa răng hàm mặt để bác sĩ có hướng điều trị tốt nhất. Tại Nha Khoa Tân Hoàn Mỹ, các bác sĩ sẽ nói chuyện với trẻ về những thói quen không tốt cũng như những hậu quả của nó. Đồng thời có thể sẽ có những khí cụ thích hợp để điều trị các tật xấu của môi: Có thể bác sĩ sẽ cho trẻ mang tấm chặn môi vào ban đêm và 2 – 3 giờ vào ban ngày, khi trẻ ở nhà (tốt nhất là cho trẻ mang suốt ngày đêm, chỉ tháo ra khi ăn).


IV. Thở miệng
Thở miệng và rối lọan việc thở bằng mũi là nguyên nhân gây ra sai lệch khớp cắn. Bệnh nhân thường có kiểu nuốt nhủ nhi (đẩy lưỡi ra trước khi nuốt), khớp cắn Angle II chi 1, hẹp hàm trên, cắn hở răng trước, cắn chéo răng sau một bên hoặc hai bên, răng chen chúc trên cả hai hàm, mặt dài, đầu hơi ngửa ra sau.
Ở bệnh nhân thở miệng, hai môi không khép kín, lưỡi nằm thấp và đẩy lưỡi khi nuốt. Nếu tình trạng này còn tồn tại sau khi điều trị chỉnh hình thì tái phát là điều chắc chắn. Do đó, cần điều trị tai- mũi-họng, trả lại chức năng thở mũi bình thường trước khi tiến hành điều trỉ chỉnh hình.
Điều trị:
Sử dụng tấm chặn môi có khoét 3 lổ nhỏ ở phía trước. Các lổ này được thu hẹp từ từ khi bệnh nhân đã quen với khí cụ để kích thích bệnh nhân thở bằng mũi.

