Những điều cần biết về điều trị chỉnh nha ở trẻ đang phát triển
Tại sao trẻ em nên đi khám tổng quát với bác sĩ chỉnh nha ?
- Lúc 7 tuổi, một số răng vĩnh viễn đã mọc và sự phát triển của xương hàm tăng nhanh. Đây là thời điểm mà nha sĩ hay bác sĩ chỉnh nha có thể đánh giá và tiên đoán các vấn đề đang và sẽ xảy ra trong tương lai và thông báo cho cha mẹ biết.
- Do các răng cối lớn vĩnh viễn thứ nhất và các răng cửa vĩnh viễn thường mọc trước 7 tuổi nên việc đánh giá cắn chéo, chen chúc và hô răng ở thời điểm này là cần thiết. Các thói quen răng miệng xấu như tật mút ngón tay kéo dài cũng được đánh giá vào lúc này.

Những dấu hiệu và thói quen đòi hỏi phải đưa trẻ đi khám chỉnh nha sớm:
- Mất răng sữa sớm hay muộn.
- Khó ăn nhai.
- Thở miệng
- Mút ngón tay.
- Răng kẹt, mất chỗ hay chen chúc.
- Trượt hàm hay có tiếng kêu ở khớp hàm.
- Cắn môi má..
- Răng chạm bất thường hay không chạm.
- Bất hài hòa răng mặt..

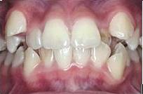
Răng mọc chen chúc cần phải đi khám chỉnh nha sớm
Khi khám tổng quát với bác sĩ chỉnh nha lúc 7 tuổi, bác sĩ sẽ đánh giá và phát hiện một số vấn đề răng mặt bất thường (nếu có), khuyên có nên điều trị hay không và xác định thời điểm điều trị phù hợp nhất.
- Vĩnh viễn mọc đúng vị trí mong muốn.
- Giảm chấn thương do hô răng trước hàm trên.
- Loại bỏ những thói quen xấu như mút ngón tay
- Hạn chế các bất thường về chức năng nói và nuốt
- Làm cho khuôn mặt hài hòa hơn, giúp bạn tự tin hơn
- Đơn giản hóa và rút ngắn thời gian điều trị chỉnh nha toàn diện sau này
- Giảm thiểu khả năng răng bị ngầm
- Giữ chỗ cho các răng vĩnh viễn mọc đúng vị trí
Giữ khoảng là gì?
Một đặc điểm quan trọng mà bạn cần biết là răng có khuynh hướng di chuyển khi răng kế cận mất đi; đặc biệt các răng cối lớn sẽ có khuynh hướng di gần. Răng cối vĩnh viễn thứ nhất, còn gọi là răng 6, sẽ mọc lúc 6 - 7 tuổi, nhưng răng cối nhỏ thứ hai đến 10 - 11 tuổi mới mọc để thay thế răng cối sữa. Khi răng cối sữa mất sớm, răng 6 mọc lên sẽ có khuynh hướng di gần làm mất chỗ của răng cối nhỏ sau này. Do vậy, cần phải làm một bộ giữ khoảng ngăn chặn không cho răng 6 di gần, nhằm giữ chỗ cho răng cối nhỏ vĩnh viễn mọc đúng chỗ. Nếu không, răng cối nhỏ sẽ không mọc được hoặc mọc lệch. Bộ giữ khoảng là một khí cụ làm bằng dây cung thép gắn cố định trong miệng, thay vào chỗ răng mất để tránh mất khoảng khi răng vĩnh viễn mọc.
Tại sao đôi khi cần nhổ sớm răng sữa?
Đôi khi cần phải nhổ răng sữa sớm nhằm tạo khoảng cho các răng vĩnh viễn mọc đúng vị trí. Nhổ răng sữa sớm là cần thiết trong trường hợp các răng vĩnh viễn có thể mọc chen chúc, để hướng dẫn các răng này mọc đúng vị trí. Chen chúc trầm trọng sẽ khiến một số răng vĩnh viễn không đủ chỗ để mọc lên; do đó bị ngầm bên dưới hay mọc lên ở vị trí không mong muốn (thường là răng nanh). Trong trường hợp này, nhổ răng sữa sớm hay nhổ bớt một hai răng vĩnh viễn (thường là răng cối nhỏ thứ nhất) sẽ cải thiện được vấn đề chen chúc nghiêm trọng này. Việc nhổ răng như vậy còn gọi là "nhổ răng tuần tự". Sau đó cần tiếp tục theo dõi và chỉnh nha toàn diện.

Sự phát triển của trẻ ảnh hưởng đến điều trị chỉnh nha như thế nào?
Điều trị chỉnh nha và sự phát triển của trẻ có thể bổ sung cho nhau. Vấn đề chỉnh nha thường gặp là răng cửa trên nhô quá mức so với răng cửa dưới, hay còn gọi là hô. Thường nguyên nhân vấn đề này là do xương hàm dưới kém phát triển, ngắn hơn so với xương hàm trên. Trong khi cả hai xương hàm đang phát triển, các khí cụ chỉnh hình chức năng sẽ giúp cho xương hàm dưới phát triển bắt kịp với xương hàm trên. Khí cụ chỉnh hình chức năng có tác dụng tốt nhất trong giai đoạn trẻ đang phát triển. Nếu không can thiệp trong giai đoạn này, mà đợi đến khi trẻ phát triển chậm lại hay ngưng phát triển, thì chỉ có thể giải quyết vấn đề bằng điều trị phẫu thuật. Tuổi điều trị thích hợp nhất là trước 10 tuổi đối với nữ và 12 tuổi đối với nam..

Có thể chơi thể thao khi mang mắc cài không?
Có thể, nhưng nên mang một khí cụ bảo vệ miệng khi chơi thể thao. Bác sĩ chỉnh nha có thể tư vấn cho bạn loại khí cụ đặc biệt này.
Mắc cài có gây trở ngại khi chơi nhạc cụ không?
Chơi các loại nhạc cụ cần hơi thổi như kèn trumpet sẽ cần thời gian để thích nghi với mắc cài. Nói chung, mắc cài không ảnh hưởng nhiều đến việc chơi nhạc cụ.
Tại sao thời gian điều trị đôi khi kéo dài hơn thời gian dự kiến lúc đầu?
Đánh giá thời gian điều trị chỉ mang tính tương đối và có ý nghĩa là ước lượng, chứ không khẳng định. Mỗi người phát triển với tốc độ khác nhau và đáp ứng với điều trị cũng khác nhau. Do đó, việc đánh giá sẽ được tiến hành thường xuyên qua quá trình theo dõi đáp ứng điều trị. Bác sĩ chỉnh nha có mục tiêu điều trị cụ thể và sẽ tiếp tục điều trị cho đến khi đạt được các mục tiêu đó. Tuy nhiên, sự hợp tác của bệnh nhân cũng là yếu tố quan trọng trong việc dự đoán thời gian điều trị.
Tại sao cần mang khí cụ duy trì sau khi điều trị hoàn tất?
Sau khi các răng đã di chuyển đến vị trí mong muốn, các mắc cài sẽ được tháo bỏ. Tuy nhiên, các răng vẫn chưa ổn định ở vị trí mới này; chúng có thể di chuyển khỏi vị trí đã chỉnh nếu như không được cố định một thời gian. Khí cụ duy trì có tác dụng tạo ra sự ổn định này. Chúng được thiết kế để giữ các răng ở đúng vị trí lý tưởng cho đến khi xương và nướu thích nghi với thay đổi do điều trị. Mang khí cụ duy trì theo đúng hướng dẫn là cách tốt nhất để đảm bảo kết quả điều trị chỉnh nha suốt đời.
Sự sắp xếp ngay ngắn của răng có bị thay đổi sau đó không?
Các nghiên cứu cho thấy rằng răng có thể bị dịch chuyển theo thời gian. Sự dịch chuyển này, gọi là thay đổi do trưởng thành, có thể sẽ chậm dần sau tuổi 20, nhưng vẫn tiếp tục ở mức độ nào đó suốt đời. Ngay cả ở những trẻ có răng ngay ngắn, không cần điều trị cũng có thể xuất hiện những vấn đề cần chỉnh nha khi trưởng thành. Thay đổi do trưởng thành phổ biến nhất là chen chúc răng cửa dưới. Mang khí cụ duy trì sau chỉnh nha sẽ làm ổn định kết quả điều trị. Sau thời gian mang khí cụ duy trì cả ngày, mang buổi tối có thể ngăn cản sự di chuyển răng do trưởng thành.


