Nghiến răng là một chứng mà người lớn và trẻ em đều có thể mắc phải. Một số người thường cắn chặt răng khi họ bị căng thẳng hay lo âu trong ban ngày. Chứng nghiến răng thường xẩy ra vào ban đêm, khi đang ngủ. Đa số trẻ em thường nghiến răng vào ban đêm, trong khi người lớn có thể nghiến răng ban đêm hoặc ban ngày.
Nghiến răng có thể chỉ nhẹ thôi và không cần chữa trị. Tuy nhiên có người nghiến răng nhiều đến nỗi bị sái quai hàm, nhức đầu, răng bị hư và nhiều vấn đề khác nữa. Người mắc tật nghiến răng có thể không tự biết cho đến khi đã quá trễ, đã bị những tai hại của bệnh. Do đó, ta cần biết những triệu chứng của bệnh này hầu có thể chữa trị kịp thời.
Triệu chứng bệnh Nghiến răng
- Nghiến răng hay cắn chặt răng, có thể gây tiếng động to đến nỗi đánh thức người ngủ chung.
- Răng bị mòn đi, thấp xuống hay sứt mẻ
- Lớp men răng phía ngoài bị ăn mòn, lộ phần răng bên trong ra
- Răng dễ bị buốt
- Đau quai hàm hay bắp thịt quai hàm bị căng cứng
- Nhức tai vì bắp thịt quai hàm co cứng quá chứ không phải vì bị bệnh tai
- Nhức đầu -Mặt bị đau kinh niên
- Nhai phía trong của miệng

Nguyên nhân
Người ta chưa tìm được nguyên nhân rõ ràng của bệnh nghiến răng. Người nghiến răng ban ngày có thể là do hàm trên và hàm dưới bị lệch nhau, điều này chưa được chứng minh rõ. Nghiến răng trong lúc ngủ được cho là do sự thay đổi trong chu kỳ ngủ của một số người, điều này cũng còn cần được nghiên cứu thêm.
Ở người lớn, yếu tố tâm lý đưa tới chứng nghiến răng gồm có:
- Lo âu, căng thẳng, bị áp lực đời sống -Sự phẫn nộ hay bực bội bị đè nén không có chỗ thoát ra -Những người có cá tính quá năng động, hay hơn thua, háo thắng.
- Ở trẻ em, nghiến răng có thể là một giai đoạn liên quan tới sự phát triển của xương hàm và răng. Một số nhà nghiên cứu cho rằng trẻ em nghiến răng vì hàm trên và hàm dưới của chúng lệch nhau trong lúc đang mọc răng. Một số khác cho rằng trẻ em nghiến răng vì chúng bị căng thẳng, giận dữ hoặc do bị nhức tai, nhức răng. Chứng nghiến răng xẩy ra cho khoảng 30% trẻ em dưới 5 tuổi. Đa số các em sẽ hết bị nghiến răng trước khi mọc răng vĩnh viễn.
- Trong một vài trường hợp, nghiến răng không do căng thẳng hay vấn đề của răng mà do những bệnh khác, thí dụ như bệnh Huntington hay Parkinson. Nghiến răng cũng có thể là phản ứng phụ của một vài thuốc chữa bệnh tâm thần.
Khi nào nên gặp bác sĩ?
Đa số những người mắc bệnh không biết là mình nghiến răng.
Nếu bạn thấy răng mình cứ mòn đi hoặc thấy đau nơi xương hàm, mặt hay tai, bạn nên gặp bác sĩ hay nha sĩ của mình. Nếu người ngủ chung giường với bạn than phiền là bạn nghiến răng, bạn cũng nên gặp nha sĩ hay bác sĩ.
Nếu thấy con mình nghiến răng, bạn nên cho bác sĩ biết
Biến chứng của bệnh
Trong đa số các trường hợp, nghiến răng không gây ra các biến chứng tai hại. Nhưng nếu bạn nghiến răng quá mạnh và quá lâu ngày, có thể đưa đến những biến chứng sau:
- Hư hại răng, ngay cả cầu răng hay miếng trám răng
- Nhức đầu
- Đau mặt
- Đau khớp thái dương hàm (TMJ) tức khớp xương ngay trước tai mà ta có thể cảm thấy sự chuyển động khi ta mở hay đóng miệng.
Cách chữa trị bệnh Nghiến răng
Đa số các trường hợp không cần phải chữa. Trẻ em sẽ hết nghiến răng khi lớn lên, người lớn thì rất nhiều khi chỉ nghiến ít nên không bị tai hại và không cần chữa. Nếu bị nặng, bạn có thể được chữa bằng những phương cách dưới đây:
Chữa căng thẳng: Nếu bạn nghiến răng vì bị căng thẳng, bạn nên gặp bác sĩ tâm lý để chữa trị hoặc theo những phương pháp làm giảm căng thẳng, giúp bạn thư giãn như thiền hay vận động thân thể. Nếu trẻ bị căng thẳng, cha mẹ có thể giúp bằng cách nói chuyện với em, cho em tắm nước ấm, đọc sách… trước khi ngủ.
Gặp nha sĩ: Nha sĩ có thể làm cho bạn một dụng cụ để che răng khiến bớt bị hư hại (mouth guard). Bạn cũng có thể mua miếng che này ở tiệm thuốc nhưng nó sẽ không vừa lắm với miệng bạn và có thể bị sút ra ttrong đêm.
Nha sĩ có thể chữa răng lệch lạc để bớt nghiến răng. Nha sĩ cũng có thể làm mão sứ để tái lập hình dạng của răng, tuy nhiên việc này cũng không ngăn chận được tật nghiến răng.

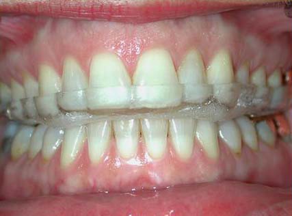
Mang máng nhựa để giảm mòn răng
Tâm lý trị liệu bằng phương pháp biofeedback: Bạn sẽ được đeo dụng cụ ghi nhận phản ứng của bạn với stress như nghiến răng, cắn chặt răng… và chớp đèn hay tạo âm thanh báo động cho bạn biết, nhờ đó bạn có thể thay đổi.
Thuốc: Không có thuốc nào làm cho bạn ngưng nghiến răng được. Trong một vài trường hợp, bác sĩ có thể cho bạn uống thuốc làm giảm căng cứng bắp thịt . Nếu bạn bị phản ứng phụ của thuốc trị trầm cảm, bạn có thể được đổi thuốc.
Bác sĩ cũng có thể chích chất Botox là chất làm tê liệt các bắp thịt nhỏ của hàm nếu bệnh nhân bị nghiến răng nặng và không thể chữa được bằng cách nào khác.

