Vì sao cần gắm ghép răng (Implant)?
Implant là một thành tựu khoa học tuyệt vời nhất trong lịch sử nha khoa, giúp phục hồi răng đã mất giống như thật cả về phương diện thẩm mỹ lẫn chức năng.
Implant khắc phục những nhược điểm vốn có của các loại phục hình cổ điển như hàm giả hay cầu răng.
- Với hàm giả tháo lắp
Thường gây vướng víu trong miệng, chức năng ăn nhai không cao, giảm cảm giác ngon miệng khi ăn, trở ngại cho việc phát âm, các móc có thể làm hư các răng thật, xương sóng hàm tiêu dần khiến hàm giả lỏng lẻo và sau một thời gian phải chỉnh sửa hoặc làm lại.
![]() |
| Nhựa cứng của hàm giả làm tổn thương sóng hàm |
![]() |
| Các móc của hàm giả có thể làm hư răng thật |
- Với cầu răng
Cầu cho chức năng ăn nhai gần như là răng thật nhưng phải mài các răng thật kế cận nhỏ bớt để bọc mão làm trụ cầu. Xương hàm nơi mất răng cũng tiêu dần, gây ảnh hưởng đến thẩm mỹ khuôn mặt.
![]() |
| Làm cầu răng phải mài răng thật làm trụ cầu |
Bạn sẽ có cảm nhận hoàn toàn khác với răng Implant?
- Implant thay thế trong mọi trường hợp mất răng
- Không nhất thiết mất bao nhiêu răng thì làm bấy nhiêu Implant
- Răng Implant giống như răng thật, có cả chân răng và thân răng nên đạt hiệu quả cao về thẩm mỹ và chức năng, lực nhai như răng thật
- Răng Implant vững chắc, không di động, không bị rơi, không ảnh hưởng đến phát âm và giao tiếpT
- Tỷ lệ thành công cao: 97 - 100% sau 10 năm (Trong khi kĩ thuật cổ điển chỉ đạt 50% sau 10 năm)
- Không mài răng thật (Kỹ thuật cổ điển mài răng thật để làm trụ cầu và 15% răng bị mài sẽ bị hư tủy)
- Ngăn ngừa tiêu xương ổ răng, giữ được trương lực cơ vùng mặt, môi và má không bị hóp vào, không gây biến dạng mặt, giữ được sự thẩm mỹ và trẻ trung.
- Vị giác không thay đổi, bệnh nhân vẫn cảm nhận được thức ăn mềm hay cứng, nóng hay lạnh, chua hay ngọt, cay hay không cay,…, giúp ăn ngon miệng hơn.
- Hạn chế viêm nướu, sâu răng,…
Mini Implant
Mini Implant cũng là trụ bằng Titanium nhưng có kích thước nhỏ hơn so với các Implant thông thường và phía trên đầu có hình dạng như quả bóng. Mini Implant thường được sử dụng để nâng đỡ hàm tạm trong lúc chờ phục hình chính thức trên Implant. Tuy nhiên, có một số trường phái sử dụng 4 mini Implant để nâng đỡ phục hình chính thức nhưng theo kinh nghiệm bản thân, chúng tôi nhận thấy nguy cơ mini Implant bị sút ra rất cao.


Mini Implant
Implant thông thường
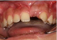
Implant thay thế 1 răng
QUI TRÌNH THAY THẾ 1 IMPLANT
![]() |
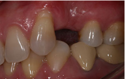
| Mất 1 răng |
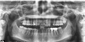
Chụp phim Panorama kiểm tra
![]() |
| Phim Panorama |
![]() |
| Phim X quang cắt lớp 3 chiều |
Dựa trên phim Panorama ta có thể thấy R24 bị tiêu xương ổ răng do mất răng lâu ngày
Kế hoạch điều trị: cấy 1 implant nâng đỡ R24, ghép xương
Kiểm tra mật độ xuơng ổ R24 trên phim CT 3 chiều và phần mềm cấy ghép Implant
![]() |
| Xác định chiều rộng và chiều dài xuơng ổ răng |
Chiều dài: 16.6mm
Chiều rộng: 2.0mm
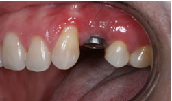
Cấy ghép Implant
![]() |
| Cấy ghép implant R24 |
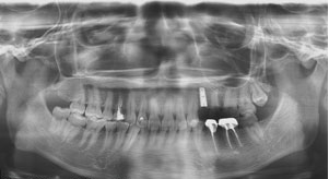
![]() |
| Kiểm tra ghép xương và Implant R24 trên phim Panorama |
Trong tất cả các ca implant răng cửa, bệnh nhân đều có răng tạm trong thời gian chờ phục hình chính thức trên Implant. Như vậy, các hoạt động giao tiếp xã hội của bạn đều diễn ra bình thường.
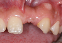
Phục hình răng trên implant
![]() |
| Gắn răng sứ trên Implant R24 |
Chi phí
Chi phí trung bình cho 1 Implant là 12.000.000 đồng đến khoảng 18.000.000 đồng, răng trên Implant tùy thuộc vào loại răng phục hình (Răng sứ Titan 1.600.000 đồng, Toàn sứ Cercon 3.600.000 đồng)
Chi phí Implant phụ thuộc vào hãng và nước sản xuất. Hiện tại Trung tâm Implant Tân Hoàn Mỹ đang áp dụng một số hệ thống Implant nổi tiếng thế giới như: Nobel Biocare (Mỹ), MIS (Mỹ), Straumann (Thụy Sĩ), Ankylos (Đức), DIO (Hàn Quốc), Platon (Nhật Bản)
Thời gian điều trị
Trường hợp chất lượng và số lượng xương tốt
Thời gian điều trị trung bình cho quá trình thay thế 1 Implant từ lúc cấy ghép đến khi phục hình là 4 đến 6 tuần. Trong thời gian này, bạn có thể có từ 3 đến 5 cuộc hẹn.
Trường hợp tiêu xương
Khi bị tiêu xương ổ răng do mất răng lâu ngày, nếu muốn thực hiện Implant, bắt buộc phải ghép xương. Tùy theo chỉ định đối với từng bệnh nhân mà có thể ghép xương và cấy Implant cùng lúc hoặc thời gian ghép xương cách lúc cấy Implant từ 5 đến 6 tháng. Thời gian này có thể là khá lâu đối với bệnh nhân nhưng nó rất cần thiết để tạo ra lực chắc chắn nâng đỡ Implant.
Trong những trường hợp khuyết hỏng xương ổ răng lớn, cần phải ghép xương để cấy ghép implant thì xương khối tự thân là lựa chọn hàng đầu vì có những ưu điểm như tính ổn định cơ học cao chống lại áp lực của mô mềm, ít tiêu,...Vị trí cho xương khối có thể là mào chậu, cằm, xương hàm dưới. Thể tích xương được lấy tùy vào thể tích khuyết hổng cần phục hồi.
LẤY XƯƠNG CẰM GHÉP VÀO VỊ TRÍ KHUYẾT HỔNG


Vị trí khuyết hổng xương ổ răng
Thiếu xương khi ghép implant


Phẫu thuật lấy xương cằm
Ghép xương cằm và xương hạt


Dùng màng tự tiêu
Khâu đóng kín vết thương

Lành thương sau 10 ngày











